Ohrenentzündungen

Schüttelt Ihr Hund überdurchschnittlich oft seinen Kopf? Oder kratzt sich Ihre Katze häufig an den Ohren? Dann kann es sein, dass die Ohren Ihres Tieres entzündet sind. Es ist wichtig zu erkennen, dass die Ohrentzündung Ihres Tieres keine lästige Erscheinung, sondern eine sehr schmerzhafte Erkrankung ist. In vielen Fällen kommt es zu einer Beteiligung des Mittelohrs, deren Schmerzhaftigkeit der Mittelohrentzündung des Menschen vergleichbar ist. In allen Fällen beginnt die Ohrentzündung unscheinbar und harmlos. Durch die lokale Entzündung wird die Immunabwehr des Ohres geschädigt, so dass sich das Tier nicht mehr ausreichend gegen die verschiedenen Keime zur Wehr setzen kann. Gleichzeitig steigt die Temperatur im Gehörgang, so dass sich das Klima für Bakterienvermehrung und Pilzwachstum verbessert. Die Schleimhaut des Ohres reagiert auf den Reiz mit zunehmender Produktion von Ohrenschmalz, der als Nährboden das Keimwachstum ebenfalls begünstigt.

Ursache

Wo bei Katzen meist Ohrmilben die Ursache der Entzündung sind, ist das bei Hunden etwas anders: Ohrmilben sind bei Hunden sehr selten und oft ist die Ursache bei ihnen schwer herauszufinden. Hauptursache bei Ohrenentzündungen ist eine Überwucherung an Bakterien und Hefepilze. Vor allem Hunde mit langen Schlappohren neigen zu chronischen Entzündungen des Ohres, da das Ohr v.a. in der warmen Jahreszeit schlechter belüftet ist und sich diese Erreger im warmen, luftarmen Milieu sich sehr schnell vermehren können. Auch häufiges Baden/ Tauchen in unsauberen Gewässern begünstigen die Ausbildung von Ohrentzündungen. Kurzschnäuzige Rassen wie z.B. Französische oder Englische Bulldoggen und Möpse haben angeborener Weise sehr enge Gehörgänge und auch bei ihnen ist die Belüftung des Ohres dadurch erschwert. Auch sie neigen zu chronischen Ohrenentzündungen.

Symptome

Zu den typischen Anzeichen einer Ohrenentzündung zählen unter anderem überdurchschnittliches Schütteln des Kopfes, nervöses und häufiges Kratzen an den Ohren und eine Schiefstellung des Kopfes. Die Ohrmuschel und der Gehörgang sind gerötet, zum Teil angeschwollen, und eine Berührung des Ohrs bzw. Kopfes kann sehr schmerzhaft sein. Die Innenseiten der Ohren sind außerdem häufig verschmutzt und oft wird bräunlich-schwarzer, gelegentlich auch gelblich-eitriger Ohrschmalz in der Ohrmuschel und im Gehörgang festgestellt. Nicht selten ist ein übler Geruch wahrnehmbar.

Diagnose

Zuerst sollte festgestellt werden was die Entzündung verursacht und welchen Schweregrad sie hat.

Dies geschieht durch die Inspektion des äußeren Gehörganges mit einer Lampe (Otoskopische Untersuchung) oder mit dem Videootoskop sowie der zytologischen Untersuchung eines zuvor aus dem Gehörgang entnommenen Abstrichs. Bei Verdacht auf einen Fremdkörper im Ohr, muss das Tier oft zur Entfernung desselbigen leicht sediert werden. Auch bei Tumoren oder Polypen im Gehörgang ist zur Entfernung eine Narkose notwendig. Diese Zubildungen sollten pathohistologisch in einem Fremdlabor untersucht werden.

Der Befund der zytologischen Untersuchung beeinflusst maßgeblich die Wahl der Ohrmedikamente und kontrolliert den Therapieverlauf.

27.Handotoskopa

Mit der otoskopischen Handlampe wird der Gehörgang bis zum Trommelfell inspiziert.

Abstrich Ohr 855x570px

Mit einem Stieltupfer wird vorsichtig etwas Material aus dem Gehörgang entnommen, auf einem Objektträger ausgestrichen und zytologisch aufgearbeitet.

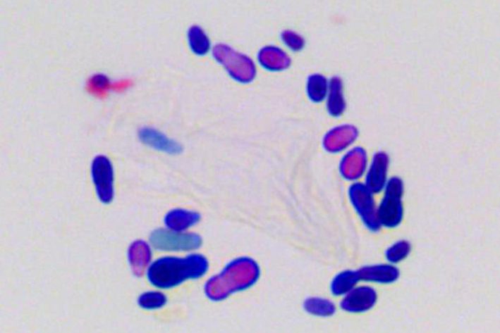
OtitisMalassa 855x570px

Otitis Malassezia: Ohrenentzündung mit Hefepilzen

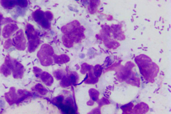
OtitisRods 855x570px

Ohrenentzündung mit Stäbchen-Bakterien und enorm vielen Entzündungszellen

Therapie

Nachdem die Anatomie des Ohres uns den Großteil des Gehörganges ohne medizinische Geräte nicht einsehen lässt, bleiben viele Ohrenprobleme den Tierhaltern verborgen. Somit werden die Tiere erst wieder vorgestellt, wenn die Symptome sichtlich schlimmer werden. Durch die lokalen Entzündungsvorgänge ist das Ohr nicht mehr in der Lage, die Infektion unter Kontrolle zu bekommen. Dies muss durch konsequente (und langwierige) Therapie durch Ohrreiniger und Ohrtherapeutika erfolgen, wobei die Behandlung möglichst früh einsetzen sollte.

Eine Ohrenentzündung muss rasch zur Abheilung gebracht werden, da sonst die Gefahr besteht, dass die Entzündung fortschreitet und es zu einer Mittelohrentzündung kommt!

Durch den Ohrreiniger wird zu Beginn der Ohrenschmalz von der Schleimhaut gelöst, um den eigentlichen Ohrmedikamenten den Kontakt mit dem infizierten Gehörgang zu ermöglichen. Danach werden spezielle Ohrentropfen eingebracht, die von den Inhaltsstoffen  auf die zuvor diagnostizierten Haupterreger abgestimmt sind. Ein Entzündungshemmer ist ebenfalls meistens bei der lokalen Therapie inkludiert. Ist das Tier sehr schmerzaft, kann zusätzlich ein Schmerzmittel oral verschrieben werden. Der Therapieerfolg wird durch Kontrollen des Tierarztes überprüft.

Erkennt man nach anfänglicher Behandlung, dass eine Besserung ausbleibt, oder ist der Gehörgang so stark verschmutzt, dass eine Reinigung auf dem oben beschriebenen Weg aussichtslos erscheint, kann eine Ohrspülung in Narkose erfolgen (Videootoskopie).

WICHTIG: Bei wiederkehrenden Ohrenentzündungen muss unbedingt nach der Ursache gesucht werden! So sind wiederkehrende Ohrenentzündungen häufig Symptome einer Allergie oder einer Schilddrüsenunterfunktion.

Bleibt eine Ohrenentzündung längere Zeit unentdeckt bzw nicht therapiert,  kommt es zu einer chronischen Ohrenentzündung gekommen.

Dies bedeutet, dass die Gehörgänge mit Entzündungsprodukten derart voll sind, dass es schwierig bis unmöglich wird, solche Gehörgänge mit einer einfachen Ohrreinigung wieder zu sanieren. Im sehr ausgeprägten Fällen ist der Gehörgang durch die chronische Entzündung irreversibel sehr stark verdickt.  In diesen Fällen leidet das Tier an starken Schmerzen, die man meist jedoch nur an „Kopfscheue“ erkennt, da sich die Tiere an den dauerhaften Zustand gewöhnen. Solch ein chronisch verändertes Ohr, bei dem die Entzündung durch einfache Ohrentropfen nicht mehr therapiert werden kann,  kann nur mehr durch eine OP saniert werden.

Prognose

Die Prognose ist abhängig von der Ursache und der Dauer der bestehenden Entzündung. Kann die Ursache behoben werden bzw wird die Entzündung früh genug behandelt, ist die Prognose gut. Wird die Ursache nicht gefunden bzw nicht behoben und ist die das Ohr chronisch entzündet und der Gehörgang bereits verdickt, ist die Prognose für eine Wiederherstellung eines gesunden Ohres vorsichtig bis schlecht.

Quellen

  • Noli C., Scarampella F.,  Colcuc M., ·(2005), Praktische Dermatologie bei Hund und Katze
  • Venker- van  Haagen A., (2010), HNO bei Hund und Katze: Hals, Nase, Ohren, Trachea und Bronchien
  • Gotthelf N. L.,  (2017), Ohrerkrankungen der Kleintiere

Lexikon

Mag. Johannes Kriechbaumer

Mag. Johannes Kriechbaumer

  • Dermatologie
  • Labordiagnostik
  • Endoskopie
WordPress Cookie Hinweis von Real Cookie Banner