Kreuzbandriss Hund

Der Kreuzbandriss stellt eine der häufigsten orthopädischen Erkrankungen des Hundes dar. Es reißt üblicherweise das vordere Kreuzband teilweise oder ganz durch. Dadurch entsteht eine Instabilität im Knie (sogenanntes „Schubladen- Phänomen“). In der Folge kommt es zu Schmerzen und einer Kniegelenksfüllung. In unbehandeltem Zustand entstehen hieraus letztlich irreversiblen Arthrosen (Gonarthrosen). Ein weiteres Problem einer länger bestehenden Instabilität ist die Schädigung des Innenmeniskus.
Symptome können akut oder schleichend auftreten und zeigen sich als mehr oder weniger starke Lahmheit. Die Behandlung erfolgt meist durch eine chirurgische Versorgung, da nur so ein langfristig zufriedenstellender Zustand erreicht werden kann.

Ursache

Ursache – Wodurch entsteht der Kreuzbandriss

Ein Riss des vorderen Kreuzbandes zählt zu den häufigsten Lahmheitsursachen beim Hund. Dem vorderen und auch dem hinteren Kreuzband kommt eine wichtige Funktion in der Stabilisierung des Knies zu. Beim Riss des vorderen Bandes tritt durch die spezielle anatomische Stellung der Gelenksflächen im Knie eine Instabilität auf. Der Hund steht im Kniegelenk gewinkelt. Im Vergleich dazu steht der Mensch im rechten Winkel auf der Gelenksfläche. Dadurch rutschen Unter- und Oberschenkel beim Hund deutlich stärker als beim Menschen aufeinander hin und her (sogenanntes „Schubladen Phänomen“). Dies verursacht Schmerzen und eine zunehmende Schwellung des Kniegelenks. Bei längerdauerndem Fortbestehen der Instabilität kommt es langfristig zu Arthrosen und möglicherweise einem Meniskusschaden. Der Meniskus stellt eine knorpeligen „Puffer“ zwischen Ober- und Unterschenkel dar. In einem instabilen Knie wird er bei jedem Schritt gequetscht und nimmt dadurch langfristig Schaden.

Anders als beim Menschen, bei dem es meist durch einen Unfall zu einem Kreuzbandriss kommt, geht beim Hund normalerweise eine Degeneration des vorderen Kreuzbandes voraus. Diese fortschreitende Degeneration des Bandes kann dann später bei normalen Belastungen zu einem Riss des Bandes führen. Traumatische Kreuzbandrisse sind beim Hund sehr selten.

Welche Hunde sind häufiger betroffen

Mittelgroße bis große Rassen sind häufiger betroffen, wobei einige Rassen eine deutliche Krankheitshäufung aufweisen. Zu diesen zählen Labrador, Rottweiler, Boxer, West Highland White Terrier und Neufundländer. Von einer gewissen erblichen Komponente muss daher ausgegangen werden. Durch ein zu hohes Körpergewicht, Verletzungen, Beinfehlstellungen und gewisse hormonelle Einflüsse kann die Erkrankung begünstigt werden. Abgesehen vom Übergewicht haben Besitzer nur wenig Einfluss darauf, ob sich ein Kreuzbandriss ereignet oder nicht.

Symptome

Das Hauptsymptom ist eine plötzlich auftretende Lahmheit, die sich meist durch Belastung verschlechtert. Die Lahmheit kann von leichtem Humpeln bis zur kompletten Entlastung des Beines reichen. Der betroffene Fuß wird beim Stehen oft entlastet und beim Sitzen nach außen gedreht, um eine schmerzhafte Beugung des Kniegelenkes zu vermeiden. Der weitere Verlauf ist sehr unterschiedlich. Während manche Hunde lange Zeit starke Schmerzen aufweisen, bessern sich die Symptome bei einigen mit der Zeit.

Eine Verbesserung ist zum Großteil auf eine Verdickung der Gelenkskapsel („Verschwartung“) durch die chronische Instabilität im Knie und den Versuch des Körpers, diese zu stabilisieren, zurückzuführen. Eine plötzliche erneute Verschlechterung kann zweierlei Ursachen haben, die oft auch in Kombination auftreten. Entweder ist das eingerissene Kreuzband dann gänzlich durchgerissen, oder durch die Instabilität ist ein Meniskusschaden aufgetreten. Bei letzterem kann manchmal ein Knacken im Gelenk (sogenannter „Meniscal Click“) wahrgenommen werden.

Andere Erkrankungen können jedoch ähnliche Symptome auslösen und zu Lahmheiten an den Hintergliedmaßen führen. Die Hüftdysplasie und Rückenprobleme im Bereich der Lendenwirbelsäule zählen dazu. Eine gründliche tierärztliche Abklärung ist daher essentiell.

Diagnose

Schon bei der orthopädischen Untersuchung kann häufig die Diagnose „Verdacht auf Kreuzbandriss“ gestellt werden. Ein Beweis dafür ist ein positiver Schubladen-Test oder ein positiver Tibia-Kompressions-Test. Beide Tests zeigen eine Verschieblichkeit im Kniegelenk an, die nur bei einem Riss des Kreuzbandes möglich ist. Ist das Band nicht ganz durchgerissen, sind diese Tests negativ oder nicht eindeutig. Die Streckung des Knies ist bei einer Problematik des Gelenks meist sehr schmerzhaft. Bei einer längeren Schonung fällt oft auch eine schlechtere Bemuskelung am Oberschenkel auf. Ist bei Beugung des Knies ein Knacken oder Klicken zu hören oder fühlbar, besteht zusätzlich der Verdacht eines durch den Kreuzbandriss entstandenen Meniskusschadens.

Besonders hilfreich bei der Diagnose ist ein Röntgenbild vom Kniegelenk. Eine vermehrte Kniegelenksfüllung durch eine Entzündung ist ein starker Hinweis auf einen Kreuzbandriss. Das Vorhandensein von Arthrosen deutet dabei auf einen chronischen Prozess hin. Nicht selten werden auf diese Art Kreuzbandrisse entdeckt, die schon eine längere Vorgeschichte haben. Erst der komplette Riss bzw. eine Schädigung des Meniskus haben dabei zur aktuell akuten Schmerzhaftigkeit und Lahmheit geführt.

Hund mit positivem Sitz-Test: Kreuzbandriss

Hund mit positivem Sitz-Test: die Knie werden nach außen gedreht um ein Abwinkeln weitestgehend zu vermeiden

Kreuzbandriss beim Hund: das Hinsetzen erfolgt zaghaft

Das Hinsetzen erfolgt zaghaft und das Bein wird beim Sitzen zur Seite gestreckt

Röntgenbilder beider Kniegelenke

Röntgenbild beider Kniegelenke mit auffälliger Kniegelenksfüllung und Arthrosen im linken Knie.

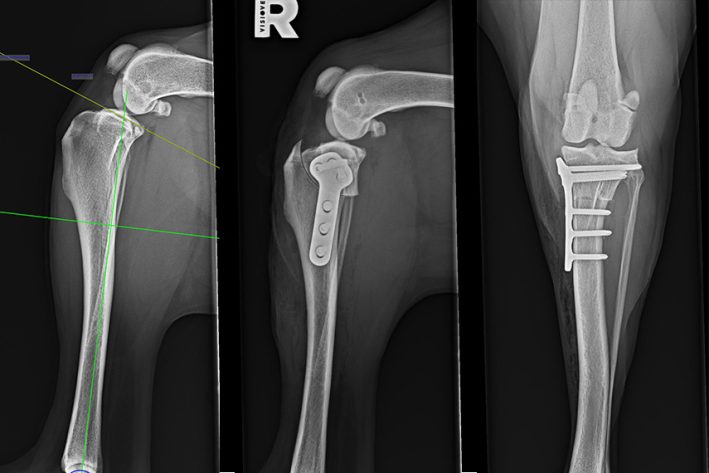
Vermessung der Kniegelenke vor und nach einer TPLO Operation

Bild 1: Vermessung des Tibiaplateauwinkels. Bild 2: Röntgen mit Implantat post-OP, laterale Ansicht. Bild 3: Röntgen mit Implantat post-OP, craniocaudale Ansicht

Therapie

Kreuzbandriss ohne Operation – konservative und alternative Therapien

Eine konservative Therapie ist in gewissen Fällen möglich, besonders wenn die Risiken einer Vollnarkose hoch sind (Vorerkrankungen, hohes Alter, …). Das Vorgehen ohne Operation besteht aus Gewichtsreduktion, Schmerzmittelgabe nach Bedarf, Bewegungseinschränkung und Physiotherapie. Diese Maßnahmen sind auch zur kurzfristigen Unterstützung vor einer Operation zu empfehlen. Bandagieren und Tapen kann nur in sehr geringem Ausmaß das Kniegelenk stabilisieren.

Selten ist über eine konservative Therapie ein schmerzfreier Zustand zu erzielen. Es gibt eine Vielzahl an alternativen Behandlungsmethoden, wie Homöopathie, Akupunktur, Goldimplantation, etc. Die Meinungen zu alternativen bzw. komplementären Therapieformen sind kontrovers, jedoch sind diese als zusätzliche Therapieoption meist ohne Probleme anzuwenden.

Behandlung mittels Operation – TPLO, TTA und Bandersatz („seitliches Halteband“)

Bei Menschen mit Kreuzbandrissen kann in der Regel mit gezielter Physiotherapie eine Operation vermieden werden. Die anderen anatomischen Verhältnisse beim Hund erfordern jedoch fast immer eine chirurgische Vorgehensweise. Der Hund steht quasi immer gebeugt im Knie, sowie ein Mensch beim Schifahren, wodurch sich das Kreuzband unter permanenter Belastung befindet.

Es gibt eine Vielzahl von OP-Techniken, wobei hier vor allem in zwei große Gruppen unterteilt werden kann: Bandersatztechniken und Umstellungsosteotomien.

Methoden

Die bekanntesten Operationsmethoden sind die TPLO (Tibial Plateau Leveling Osteotomie), die TTA (Tuberositas Tibiae Advancement), das seitliche Halteband (nach „Flo-De Angelis“), die „Tight-Rope“ sowie die Faszienraffung („nach Meutstege“). Die TPLO und auch die TTA sind biomechanische Methoden, bei denen die Zugrichtungen im Kniegelenk verändert werden. Dadurch kommt es in der Bewegung nicht mehr zu einem Verrutschen der Gelenksflächen. Die Ergebnisse mit der TPLO oder TTA sind in der Regel sehr gut und den Bandersatztechniken überlegen. Durch die großen Zugkräfte im Kniegelenk können Bandersatztechniken versagen (ausleiern, reißen, etc.). Dahingegen sind Knochenumstellungsosteotomien ab dem Zeitpunkt der Abheilung des Knochens in der richtigen Position permanent verwachsen und damit dauerhaft stabil.

Untersuchungen konnten zeigen, dass durch keine anderen Operationsmethode als durch die TPLO nach 6 Monaten am operierten Bein eine ähnliche Belastung erreicht werden kann, wie am gesunden Bein. Auch konnte gezeigt werden, dass durch die Umstellungsosteotomien dem Fortschreiten der Arthrose am ehesten Einhalt geboten werden kann.

Das Kreuzband zu nähen, wie dies bei einem frischen Bänderriss beim Menschen durchgeführt wird, ist beim Hund zum Scheitern verurteilt. Erstens, liegt fast immer eine degenerative Erkrankung zu Grunde. Zweitens, würde der Patient sein Bein niemals bis zur Abheilung schonen. Außerdem wirken durch die besondere Gelenksstellung, verglichen mit dem Menschen, beim Stehen und Gehen permanent enorme Zugkräfte auf das Band.

Im Zuge einer Operation sollte unbedingt der Zustand des inneren Meniskus beurteilt werden. Sofern ein Meniskusschaden besteht, kann dieser sogleich behoben werden.

  • Operationsmethode seitliches Halteband

Beim seitlichen Halteband wird das gerissene Kreuzband durch einen chirurgischen Faden außerhalb des Kniegelenkes ersetzt. Diese Methode ist einfacher durchzuführen als eine Umstellungsosteotomie, jedoch bringt sie auch Nachteile mit sich. Kein natürliches oder künstliches Band erreicht je die Stabilität des ursprünglichen Kreuzbandes. Deshalb wird diese Methode nur noch bei Patienten mit einem geringen Gewicht und wenig Aktivität empfohlen.

  • Operationsmethode: TPLO

Bei der TPLO (Tibial Plateau Leveling Osteotomie) werden die Zugkräfte, die sonst vom Kreuzband abgefangen werden, weitgehend neutralisiert. Dies erfolgt durch einen bogenförmigen Knochenschnitt am Schienbein und die darauffolgende Umstellung des Knochens. Der Grad der Umstellung ist bei jedem Tier individuell und wird vor der OP anhand eines Röntgenbildes vermessen. Anschließend wird der Knochen mit einer speziellen winkelstabilen Platte und Schrauben fixiert. Der Knochen kann so in dieser neuen Position zusammenheilen. Die fehlende Stabilisierungsfunktion durch das gerissene Kreuzband spielt somit keine große Rolle mehr. Im Gegensatz zum seitlichen Halteband, weist eine Knochenumstellung sofort und langfristig deutlich mehr Stabilität auf. Grundsätzlich wird diese OP-Methode bei jedem Patienten als beste Methode empfohlen. Wir führen diese OP-Methode inzwischen bei Hunden ab 2,5 kg durch. Allgemein gilt, je schwerer und aktiver ein Tier ist, desto eher wird zur Knochenumstellung (TPLO, TTA) geraten.

Behebung vom Meniskusriss

Häufig liegt zusätzlich zum Kreuzbandriss ein Meniskusschaden vor. Dies ist vor allem der Fall, wenn der Riss schon einige Zeit zurückliegt. Ist der Meniskus geschädigt, sollte dies unbedingt bei der OP mitbehoben werden, da sonst kein schmerzfreier Zustand erreicht werden kann. Hierfür gibt es unterschiedliche Methoden. Grundsätzlich kontrollieren wir den Meniskus im Zuge der Operation arthroskopisch. D.h. über einen kleinen, minimalinvasiven Zugang wird mit einer Kamera (sogenanntes „Arthroskop“) der Meniskus beurteilt. Ein eventueller Meniskusschaden kann so direkt arthroskopisch mit kleinen Handinstrumenten oder einem sogenannten arthroskopischen „Shaver“ behoben werden.

Bei Hunden mit schweren, chronischen Meniskusschäden und in fortgeschrittenem Alter kann auch ein sogenannter „Meniskus Release“ durchgeführt werden. Hierbei erfolgt über einen kleinen Zugang ein Schnitt durch das häufig von Schäden betroffene Hinterhorn des Meniskus, das nun nicht mehr zwischen Ober- und Unterschenkel eingeklemmt werden kann.

Gerne erklären wir die Vor- und Nachteile der unterschiedlichen Methoden in einem persönlichen Gespräch anhand von Modellen.

Ablauf einer TPLO-Operation

Ablauf vor einer Narkose oder Operation: Vor der Operation ist es wichtig Ihr Tier nüchtern vorzustellen. Das heißt, mindestens 12 Stunden vor dem Eingriff soll keine feste Nahrung und 2 Stunden kein Wasser verabreicht werden. Vor einer Narkose wird der allgemeine Gesundheitszustand untersucht und in der Regel eine präoperative Blutuntersuchung empfohlen, um das Narkoserisiko so weit wie möglich zu minimieren. Weitere Informationen finden sie unter den FAQ.

In Narkose wird ein Vermessungsröntgen durchgeführt, um den individuellen Winkel des Tibia Plateaus (der Oberfläche des Unterschenkels) zu bestimmen. Mit diesem wird der Drehwinkel für die Rotation des Tibia Plateaus ausgemessen. Danach wird das Bein rasiert, gewaschen und aseptisch vorbereitet. Die OP wird üblicherweise ambulant durchgeführt, sodass der Patient noch am selben Tag nach Hause gehen kann.

Um ein optimales Behandlungsergebnis zu erreichen, ist es wichtig, gewisse Maßnahmen nach der OP einzuhalten. Für 6-8 Wochen sind Spaziergänge lediglich an der Leine möglich. Dies ist zwingend nötig, damit es zu keinen Überlastungen am Implantat kommt und der Knochen in dieser Zeit abheilen kann. Gewöhnlich belasten die Hunde das operierte Bein schon innerhalb der ersten Tage nach dem Eingriff. Die erste Röntgenkontrolle wird in der Regel nach 6 Wochen durchgeführt. Bei einigen Hunden ist zu diesem Zeitpunkt der Knochen bereits verheilt, sodass die Ruhighaltung aufgehoben werden kann. Andere Hunde benötigen noch ein zweites Kontrollröntgen 10-12 Wochen nach der Operation. Unterstützende Physiotherapie kann den Heilungsprozess beschleunigen. Den genauen Ablauf erklären wir Ihnen gerne in einem persönlichen Gespräch.

Prognose

Die Prognose ist abhängig von evtl. bestehenden Arthrosen, dem Vorliegen eines Meniskusschadens, von der Aktivität des Patienten usw.

Generell ist die Prognose nach einer TPLO gut bis sehr gut. Abgesehen von möglichen Komplikationen, wie diese bei jeder Operation auftreten können, profitiert jedes Tier mit Kreuzbandriss von diesem Eingriff. Denn die Instabilität des Kniegelenks und die dadurch entstehenden Schmerzen können durch eine TPLO verhindert werden.

Quellen
  • Brunnberg L, Waibl H, Lehmann J (2014): Lahmheit beim Hund. Procane Claudo, Berlin
  • Slocum B et al., 1998: Current techniques in small animal surgery. 4ed
  • Boudrieau RJ (2009): Tibial plateau leveling osteotomy or tibial tuberosity advancement? Vet Surg 38(1):1-22
  • Franklin SP, Gilley RS, Palmer RH (2010): Meniscal injury in dogs with cranial cruciate ligament rupture. Compendium Continuing Education for veterinarians.
  • Höpfl M (2011): Vergleichende Ergebnisse der Tibial Plateau Leveling Osteotomy (TPLO) und Tibial Tuberosity Advancement (TTA) zur Behandlung der vorderen Kreuzbandruptur beim Hund: Eine Literaturstudie. Dissertation, LMU München: Tierärztliche Fakultät
  • Tobias KM & Johnston SA (2012): Veterinary surgery small animal. Elsevier, St. Louis, 1. ed.
  • Fossum TW (2013): Small animal surgery. Elsevier, St. Louis, 4. ed.
Dr. Martin Riegler

Dr. Martin Riegler

Fachtierarzt für Kleintiere

  • Orthopädische Chirurgie
  • Neurochirurgie
  • Radiologie
WordPress Cookie Hinweis von Real Cookie Banner