Frakturversorgung bei Hund und Katze

Frakturen (Knochenbrüche)  bei Hund und Katze treten vorwiegend nach Traumata wie Autounfällen und Stürzen aus größerer Höhe auf. In wenigen Fällen können diese konservativ, also ohne OP und nur durch einen stabilen Verband, behandelt werden. Meist ist allerdings eine Operation nötig. Hierfür stehen verschiedene Implantate zur Verfügung, angefangen von Nägeln (Pins) und Drahtcerclagen über einen sogenannten Fixateur externe bis hin zu Schrauben und Platten.
Nach der Operation ist eine Ruhighaltungsphase erforderlich, damit der Knochen Zeit zum Heilen hat. Die Länge der Ruhighaltung richtet sich nach der Stabilität der Versorgung, sowie dem Alter des Tieres.

Ursache

Autounfälle stellen sicherlich eine der Hauptursachen für Frakturen dar. Vor allem Katzen fallen aber auch des Öfteren aus einer großen Höhe, z.B. vom Balkon, aus dem Fenster oder vom Dach.  Für Zwerghunde kann bereits ein Sturz vom Arm eine so große Belastung sein, dass er sich die Vordergliedmaßen bricht.

Beim Hund treten Frakturen am häufigsten am Vorderbein, an Elle und Speiche (Radius und Ulna), auf. Bei der Katze hingegen sind der Oberschenkelknochen (Femur) und das Becken häufiger betroffen, vermutlich, weil diese meist im hinteren Bereich von einem Auto erfasst werden.

Es gibt auch Frakturen, die ohne großen Einfluss von außen auftreten können. Hier ist vor allem eine Fraktur des unteren Oberarmknochens (distaler Humerus) zu nennen. Die Fuge zwischen den beiden Walzen (Kondylen) des Humerus schließt sich bei manchen Hunden im Laufe des Wachstums nicht richtig, sodass hier eine Sollbruchstelle vorliegt. Betroffen sind v.a. Springer Spaniel, Wachtelhunde und Französische Bulldoggen.

Trümmerfraktur bei einer Katze

Trümmerfraktur bei einer Katze

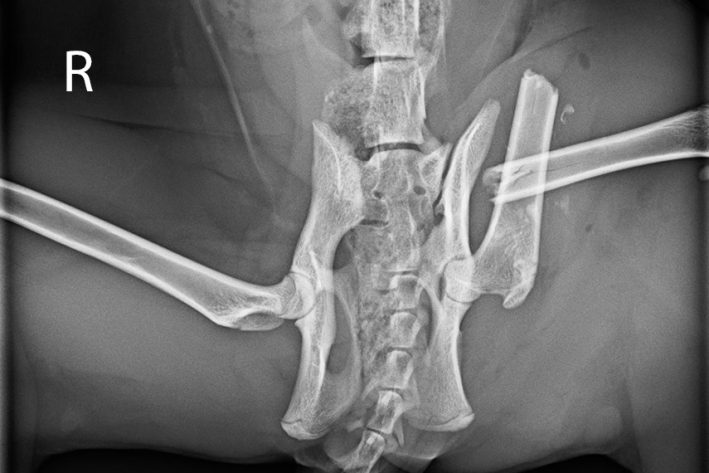
Femurfraktur links bei einer Katze

Femurfraktur links bei einer Katze

Symptome

Nach einer Fraktur kommt es fast immer zu einer starken Lahmheit, bei der die betroffene Gliedmaße gar nicht belastet wird. Die Tiere zeigen starke Schmerzen. Oft sind die Tiere durch das Trauma im Schock und teilweise in Seitenlage. Daher müssen sie dringend mit Infusionen und Schmerzmittel behandelt und stabilisiert werden. Nicht selten erleiden Tiere auch Traumata im Bereich des Brustkorbes. Dabei entsteht oft ein sogenannter Pneumothorax (Luft außerhalb der Lunge im Brustkorb durch Reißen von Lungenbläschen) oder Lungenblutungen.

Diagnose

Die Diagnosestellung erfolgt durch die klinische und orthopädische Untersuchung, sowie ergänzende Röntgenaufnahmen. In der Regel wird auch eine Röntgenaufnahme des Brustkorbes angefertigt, um zusätzliche Traumata in diesem Bereich auszuschließen und bei Bedarf zu behandeln.

Zur Planung einer OP bei komplizierten Frakturen kann ggf. eine Computertomographie nötig sein.

Therapie

Je nach Schockzustand des Tieres muss dieses zunächst stabilisiert werden. Hier gilt auf alle Fälle: Leben vor Frakturversorgung! Es kann also sein, dass sich die endgültige operative Versorgung einige Tage hinauszögert. Offene Brüche sollten zwar so schnell wie möglich versorgt werden, es hat sich jedoch gezeigt, dass eine initiale Stabilisierung und die darausfolgende Verzögerung der Versorgung nicht mit einer erhöhten Wundinfektionsrate assoziiert ist, sondern die Überlebensrate verbessert.

Abhängig von der Lokalisation und Art der Fraktur wird über die weitere Versorgung entschieden.

  1. Konservative Versorgung

Bei der konservativen Therapie werden die Tiere in der Regel mit stabilen, gipsähnlichen Verbänden über einen Zeitraum von 6-8 Wochen behandelt.

Dies kommt einerseits bei Grünholzfrakturen beim Jungtier in Betracht. Dabei handelt es sich um Fälle, in denen der Knochen nicht vollständig gebrochen ist. Andererseits eignen sich nicht-dislozierte (nicht verschobene) Frakturen z.B. der Pfote (Metacarpus, Metatarsus, Zehen) in einigen Fällen für die konservative Frakturversorgung. Auch Beckenfrakturen im Bereich der nicht tragenden Strukturen werden konservativ behandelt.

Ein regelmäßiger und vor allem sachgemäßer Verbandswechsel ist unabdingbar.

  1. Chirurgische Versorgung

Bei den meisten Frakturen ist eine operative Versorgung nötig. Je nach Art der Fraktur kommen hierfür unterschiedliche Methoden und Implantate zum Einsatz.

Zum Beispiel werden Wachstumsfugenfrakturen bei jungen Tieren meist mit Pins versorgt. Abrisse von Knochenvorsprüngen, an denen Muskeln ansetzen, werden durch eine sogenannte Drahtzuggurtung versorgt. Bei dieser werden Pins und eine Drahtcerclage eingebracht.

Bei Schaftfrakturen (Brüche im Bereich des mittleren Teils von Röhrenknochen) stehen je nach Art der Fraktur verschiedene Methoden zur Verfügung. Sehr lange Spiralfrakturen können mit Drahtcerclagen (Fixierung von Knochenfragmenten durch Umschlingen mit einem Metalldraht, sehr selten verwendet) und Intramedullärnägeln (Marknagelung) versorgt werden. Kurze Schräg- oder Querfrakturen eignen sich zur Versorgung mittels Fixateur externe (ein durch die Haut befestigtes Haltesystem gebrochener Knochen)  oder mit einer Platte.

  • Fixateur externe

Vorteil eines Fixateur externe ist die kurze Operationsdauer und Minimalinvasivität (wenig Störung der Frakturzone). Nachteil ist, dass ein Gestänge außerhalb des Körpers liegt, das gepflegt werden muss. Das Tier muss unbedingt ruhig gehalten werden. Der Fixateur wird nach Abheilung der Fraktur in einer leichten Kurznarkose wieder entfernt.

  • Plattenosteosynthese

Bei einer Plattenosteosynthese ist der Zugang zum Knochen, und damit der Hautschnitt, meist etwas größer. Heutzutage versucht man auch bei einer Plattenosteosynthese die Frakturzone möglichst wenig zu manipulieren. Vorteil ist, dass die Versorgung meist deutlich stabiler ist. Eine Plattenosteosynthese eignet sich also vor allem für Tiere, bei denen die Ruhighaltung problematisch ist. Dies betrifft z.B. wild lebende Katzen. Außerdem kann eine Platte in der Regel im Tier verbleiben und muss nicht wieder entfernt werden, was eine weitere Narkose erspart.

Wir besprechen mit Ihnen gern, welche Art von Versorgung für Ihr Tier in Frage kommt.

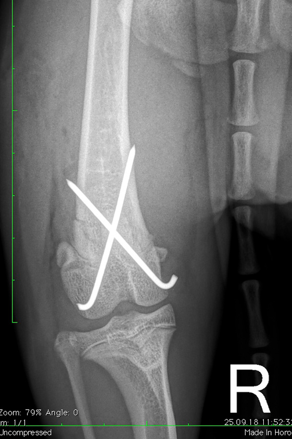
Salter Harris Fraktur

Wachstumsfugenfraktur (Salter Harris Fraktur) am distalen Femur bei einem Hund

Versorgung der Fraktur mit Pins

Versorgung der Fraktur mit Pins

Salter Harris Fraktur post-operativ

Kontrollröngtenaufnahme in der 2. Ebene.

Versorgung einer Femurfraktur einer jungen Katze mit einem externen Fixateur.

Versorgung einer Femurfraktur einer jungen Katze mit einem externen Fixateur.

Versorgung Femurfraktur

Versorgung der Femurtrümmerfraktur der Katze aus Abb. 1 mit Platte und IM Nagel (Plate and Rod).

Seitliches Kontrollröntgen nach Versorgung Femurfraktur

Seitliches Kontrollröntgen: eine sehr stabile Versorgung dieser sehr instabilen Fraktur.

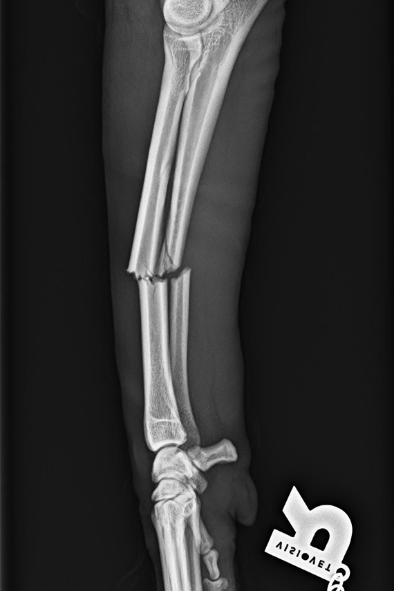
Radius Ulna Querfraktur Hund

Radius Ulna Querfraktur bei einem Hund

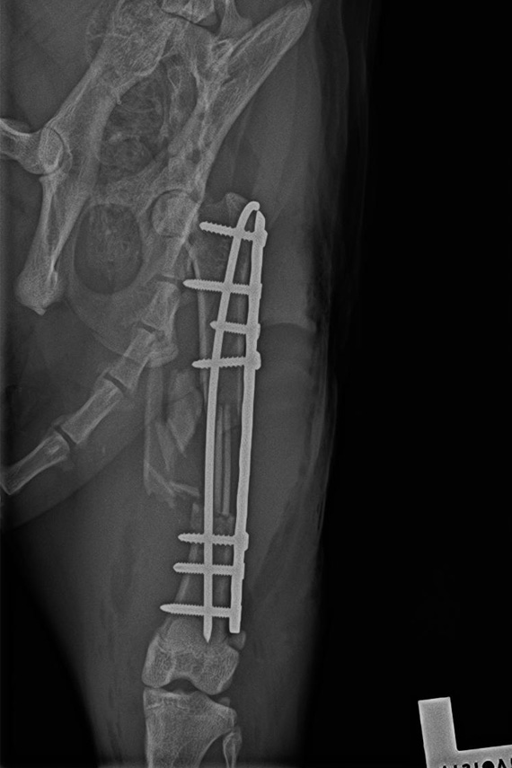
Versorgung Radius Ulna Fraktur

Radius und Ulna wurden jeweils mit einer eigenen Platte verplattet.

Ulna Fixateur post-op

Diese Versorgung empfiehlt sich bei größeren und aktiven Hunden.

Prognose

Die Prognose ist im Allgemeinen als sehr gut anzusehen.

Etwas schlechter ist die Prognose bei Frakturen mit Gelenksbeteiligung, weil es hier langfristig zu einer Arthrose kommen kann

Quellen
  • Tobias KM & Johnston SA (2012): Veterinary surgery small animal. Elsevier, St. Louis, 1. ed.
  • DeCamp CE, Johnston SA, Dejardin LM, Schaefer SL (2016): Handbook of Small Animal Orthopedics and Fracture Repair. Elsevier, St. Louis
Dr. Riccarda Schünemann

Dr. Riccarda Schünemann

Dipl. ECVS, FTÄ für Kleintierchirurgie, FTÄ für Kleintiere

  • Orthopädische Chirurgie
  • Weichteilchirurgie
  • Neurochirurgie
WordPress Cookie Hinweis von Real Cookie Banner