Ellbogendysplasie (ED) beim Hund

Die Ellbogendysplasie (ED) beim Hund ist eine der häufigsten Ursachen für Lahmheiten der Vordergliedmaße des Hundes.
Unter dem Begriff Ellbogendysplasie werden klassischerweise verschiedene Erkrankungsbilder zusammengefasst:
* FCP: fragmentierter Processus coronoideus
* IPA oder UAP: der isolierte Processus anconeus
* OCD: eine Osteochondrosis dissecans des distalen (unteren) Humerus (Oberarmknochen)
* eine Inkongruenz des Ellbogengelenkes: hierbei passen der Oberarmknochen, Elle und Speiche nicht korrekt aufeinander
Mit Abstand die häufigste Ausprägung der Ellbogendysplasie beim Hund stellt der FCP dar. Die Inkongruenz des Ellbogengelenkes kann in vielen Fällen auch eine Ursache eines FCPs oder eines IAPs sein.
In Folge der Ellbogendysplasie kommt es zu fortschreitendem Knorpelabrieb und damit zur Entstehung von Arthrosen. Beim „medial compartment syndrome“ ist der gesamte innere Anteil des Gelenkes von Arthrose betroffen. Im weiteren Verlauf kommt es bei einigen Hunden auch zu einer Arthrose des gesamten Gelenkes.
Meist werden Hunde mit Ellbogendysplasie bereits sehr jung vorgestellt, in einem Alter von 6 – 18 Monaten. Einige Hunde beginnen auch erst im Alter zu lahmen, wenn die Arthrosen fortschreiten. Die am häufigsten betroffenen Rassen mit Ellbogendysplasie sind Labrador Retriever, Golden Retriever, Rottweiler und Schweizer Sennenhunde.
Im Falle eines frisch diagnostizierten FCP empfiehlt sich meist die arthroskopische (minimalinvasive) Entfernung des Fragmentes. Ein isolierter Proc. anconeus wird je nach Alter und Zustand der Arthrose des Gelenkes entweder angeschraubt, um ihn zur Heilung zu bringen, oder entfernt. In vielen Fällen kann der Fortschritt der Erkrankung verlangsamt werden. Fast immer kommt es jedoch im Laufe des Lebens zu einer zunehmenden Arthrose, da die Grundursache in den wenigsten Fällen behandelt werden kann.

Ursache

Die Grundursache für eine Ellbogendysplasie beim Hund ist in der Regel genetischer Natur, also angeboren. In vielen Fällen sind beide Vordergliedmaßen betroffen. Das Zusammenspiel der drei am Ellbogengelenk beteiligten Knochen Humerus (Oberarm), Ulna (Elle) und Radius (Speiche) funktioniert an einem Punkt nicht korrekt.

Inkongruenz: „short ulna“ oder „short radius“
Nicht selten liegt eine sogenannte „Inkongruenz“, d.h. ein „Nichtzusammenpassen“ der am Gelenk beteiligten Knochen, vor. Diese Inkongruenz im Ellbogengelenk stellt eine Ursache für die Entstehung der Ellbogendysplasie dar. Sie kann entweder primär vorhanden sein, oder in selteneren Fällen auch durch ein vorhergehendes Trauma der Wachstumsfugen entstehen. Z.B. kann es in Folge eines Traumas der Gliedmaße zu einem vorzeitigen Schluss der distalen (unteren) Wachstumsfuge der Elle kommen. Dadurch kommt es zu einer Verkürzung der Elle („short ulna“), was in Folge die Entstehung eines IPA oder auch FCP begünstigen kann. In einigen Fällen kommt es lediglich zur Entstehung von Arthrosen aufgrund einer ungleichmäßigen Belastung im Ellbogengelenk.

Ursache ist auch oft eine angeborene „short ulna“ (zu kurze Elle) oder „short radius“ (zu kurze Speiche). In der Folge kommt es zu einer Überlastung am Processus coronoideus („Kronenfortsatz“) oder Processus anconeus. Im Falle des Kronenfortsatzes kommt es zunächst zu einer Fissur (Riss) und später zu einer Fragmentierung (Zergliederung) durch diese Überlastung und er bricht ab. Der Proc. anconeus weist bei großen Hunden einen eigenen Verknöcherungskern auf. Im Alter von 16-20 Wochen sollte sich dieser mit der übrigen Elle verbinden – in Folge von Imbalancen im Gelenk wächst dieser jedoch nicht an. In beiden Fällen sind Schmerzen durch das lose Fragment die Folge. Es entsteht Knorpelabrieb an gegenüberliegenden Gelenksflächen und im weiteren Verlauf eine Arthrose.

In vielen Fällen liegt jedoch weder eine „short ulna“, noch ein „short radius“ vor. Warum es in diesen Fällen dennoch zu einem FCP oder auch einem IPA kommt, ist bisher nicht abschließend geklärt. Vermutet werden dynamische Imbalancen oder Inkongruenzen, die erst im Laufe der Bewegung und unter dem Einfluss der Muskeln entstehen. Auch primäre Defekte des subchondralen (unter dem Knorpel liegenden) Knochens können ursächlich sein. Die oft multifaktorielle Ursache macht die Behandlung der Ellbogendysplasie beim Hund bis heute so schwer.

„Medial compartment“ Syndrom
Bei einem länger vorliegenden FCP kann es zum sogenannten „medial compartment“ Syndrom kommen, bei welchem der gesamte innere Anteil des Gelenks von Knorpelabrieb und Arthrose betroffen ist.

Osteochondrosis dissecans
Eine OCD am distalen (unteren) Humerus kommt sehr selten als isolierte oder primäre Erkrankung im Ellbogen vor. Es handelt sich um eine losgelöste Knorpelschuppe im Gelenk, die durch eine Störung der Gelenkknorpelentwicklung entsteht. In den allermeisten Fällen ist sie mit einem FCP vergesellschaftet.

„Jump down“ Syndrom
In seltenen Fällen (ca. 1-2% aller Hunde mit FCP) hat ein fragmentierter Processus coronoideus (FCP) tatsächlich traumatische Ursachen. Meist sind mittelalte Hunde der nicht typischen ED Rassen betroffen. Nach einem Unfall, z.B. einem Autounfall, einem Sprung aus großer Höhe oder einem Sportunfall, kann es zu einem traumatischen Abbrechen des Proc. coronoideus kommen. Typischerweise zeigen diese Hunde eine plötzliche, direkt nach dem Unfall auftretende und sehr starke Lahmheit der betroffenen Gliedmaße. Bei ihnen liegen keinerlei Arthrosen vor. Nachdem außerdem die Grundursache eine andere ist und diese Hunde ein ansonsten gesundes Ellbogengelenk aufweisen, ist die langfristige Prognose nach Entfernung des Fragmentes sehr gut.

Epidemiologie

Mit Abstand die häufigste vorgestellte Rasse mit einer Ellbogendysplasie und vor allem einem FCP ist der Labrador Retriever. Ebenfalls häufiger betroffen sind Golden Retriever, Rottweiler, und die Schweizer Sennenhunde. Im Prinzip können jedoch alle Hunde betroffen sein. So beobachten wir die Erkrankung zunehmend auch beim Australian Shepherd, sowie vermehrt auch bei kleineren Hunden, wobei hier häufiger solche mit Fehlstellungen der Vordergliedmaßen betroffen sind.
Ein isolierter Proc. anconeus (IPA) wird mit Abstand am häufigsten beim Deutschen Schäferhund gesehen.
Übergewicht trägt zwar nicht zur primären Entstehung der Erkrankung bei, jedoch belastet jedes Kilogramm zuviel das Gelenk zusätzlich! Das Fortschreiten der Arthrose kann durch eine gesunde Gewichtsreduktion deutlich verlangsamt werden.

Symptome

Sehr viele Hunde werden bereits in sehr jungem Alter, zwischen 6-18 Monaten, das erste Mal durch eine Lahmheit auffällig. Typisch bei einer Lahmheit der Vordergliedmaße ist, dass der Hund auf die gesunde Seite „fällt“, also mit dem Kopf nach unten geht, wenn er auf das gesunde Bein auftritt. Schwierig ist es bei Hunden, die beidseitig betroffen sind – hier ist die Lahmheit oft sehr viel weniger auffällig. Hinweise geben kann auch eine „Morgensteifigkeit“, d.h. ein verändertes Aufsetzen der Vordergliedmaßen (nach innen oder nach außen gedrehte Ellbögen, um die betroffenen Bereiche zu entlasten), sowie ein verändertes Spiel- oder Gassiverhalten.
Ein junger Hund, der bereits „faul“ ist und nicht gerne spielt oder Spazieren geht, ist immer ein Grund hellhörig zu werden! In jedem Fall sollten Lahmheiten bei einem jungen Hund tierärztlich abgeklärt werden. Fast immer liegt hier eine Erkrankung zugrunde und je früher therapeutisch eingegriffen werden kann, desto eher können Spätschäden verhindert werden. Vor allem Hunde, bei denen einer der beteiligten Knochen verkürzt ist, profitieren sehr von einem frühen Eingreifen, solange sie noch im Wachstum sind. Wenn sie erst einmal ausgewachsen sind (manchmal bereits mit einem Jahr), sind die Arthrosen oft bereits soweit fortgeschritten, dass nicht mehr viel getan werden kann.

Diagnose

Orthopädische Untersuchung
Eines der wichtigsten diagnostischen Mittel ist die ausführliche orthopädische Untersuchung – im Zweifelsfalle bei einem Spezialisten für Orthopädie. Ein deutlicher Hinweis kann hier bereits ein Streckschmerz im Ellbogengelenk sein. Auch die sogenannte „Coronoidprobe“ wird angewandt, um einen Schmerz im Ellbogengelenk zu provozieren. Hierbei wird bei gebeugtem Ellbogengelenk das Karpalgelenk („Handwurzelgelenk“) nach innen und außen gedreht. Hunde mit einem FCP zeigen hierbei oft Schmerzen.

Die häufigste Differentialdiagnose bei einem jungen Hund stellt die OCD im Bereich des Schultergelenks dar. Betroffene Hunde zeigen Schmerzen bei Streckung der Schulter. In einigen Fällen leiden Hunde auch an beiden Erkrankungen in Kombination, einer Schulter OCD und einer Ellbogendysplasie.
Beim älteren Hund stellt eine Erkrankung der Bizepssehne die häufigste Differentialdiagnose dar. Auch hier zeigen die Hunde Schmerzen im Schultergelenk.

Natürlich werden auch alle anderen Gelenke und Knochen im Rahmen einer orthopädischen Untersuchung angeschaut, wobei Lahmheitsursachen im Bereich des Karpus (Handwurzelgelenk) oder der Pfote deutlich seltener sind. Eine wichtige Differentialdiagnose beim jungen Hund stellt die „Panostitis“ dar. Dabei handelt es sich um eine wachstumsbedingte Entzündung der langen Röhrenknochen, die mit einer deutlichen Schmerzhaftigkeit bei Druck auf die Knochen einhergeht und zum Glück eine sehr gute Prognose besitzt.

Bildgebende Diagnostik
Bei starkem Verdacht auf eine Ellbogenerkrankung, werden entweder Röntgenbilder angefertigt, oder direkt zu einer Computertomographie (CT) geraten. Auf Röntgenbildern kann die Diagnose eines IPA oftmals direkt gestellt werden. Auf einen FCP kann das Röntgenbild meist nur Hinweise liefern. Gerade junge Hunde, die erst eine frühe Fissur entwickelt haben, zeigen manchmal im Röntgen noch keinerlei Auffälligkeiten. In diesem Fall kann erst durch eine CT ein FCP eindeutig erkannt oder ausgeschloßen werden. Stark ausgeprägte Inkongruenzen lassen sich auch bereits am Röntgenbild erkennen, genauer geht dies jedoch mittels einer 3D Rekonstruktion nach einem CT.

Ferner hilft das CT bei der Planung der OP: der Verlauf einer Fissur lässt sicher genauer erkennen, außerdem ob das Fragment bereits lose oder noch „in situ“, also noch an der Elle befestigt ist. Erfahrungsgemäß zeigen gerade die Hunde, bei denen das Fragment noch nicht lose im Gelenk ist, eine größere Schmerzhaftigkeit als jene, bei denen das Fragment bereits vollständig abgebrochen ist. So erweckt häufig das CT-Bild des weniger stark lahmen Beines einen schlechteren Eindruck (der Hund war hier vielleicht früher einmal lahm) als das akuter betroffene Gelenk, bei dem es erst frisch zu einer Fissur gekommen ist.

SLT 3D Rekonstruktion Ellbogen Ellbogenarthrosen FCP

Ellbogengelenk mit fortgeschrittenen Gelenksarthrosen. Der Pfeil markiert das abgebrochene Knochenfragment am inneren Processus Coronoideus.

Fragmentierung des Processus Coronoideus

Eine Fragmentierung des Processus Coronoideus stellt eines der häufigsten Probleme im Zusammenhang mit einer Ellbogendysplasie dar.

Therapie

Therapie des fragmentierten Processus coronoideus (FCP) oder der OCD des distalen Humerus

Bei einem jungen Hund ohne deutliche Arthrosen ist immer die Entfernung des Fragmentes angeraten. Belässt man das Fragment, wird dieses nicht nur zu fortbestehenden Schmerzen, sondern auch zu einem Knorpelabrieb und damit Arthrosen des gegenüberliegenden Oberarmknochens (Humerus) führen. Wir führen diesen Eingriff ausschliesslich minimalinvasiv, d.h. mit einem Arthroskop, durch. Für diesen Eingriff sind 2 Zugänge zum Ellbogengelenk von ca. 5 mm Länge erforderlich. Über den hinteren Zugang wird das Arthroskop eingeführt (in der Regel ein 2,3 mm Arthroskop, bei kleineren Hunden auch ein 1,9 mm Arthroskop), der vordere stellt den sogenannten „Arbeitskanal“ dar. Über diesen werden kleine arthroskopische Instrumente eingeführt. In den meisten Fällen, wenn das Fragment noch mit der Elle verbunden ist, wird dieses mit Hilfe eines Mini-Meißels vollständig abgetrennt und dann mit einer arthroskopischen Zange entfernt.

Auch eine OCD Läsion am distalen Humerus wird auf diese Weise behandelt – die Schuppe wird entfernt und das OCD- „Bett“ geglättet.

Ein Vorteil der arthroskopischen Behandlung ist die minimale Invasivität – die Hunde können im Zuge desselben Eingriffs an beiden Beinen operiert werden und benutzen die Gliedmaßen im Anschluss direkt. Zudem ermöglicht sie die direkte visuelle Beurteilung des Knorpels. Während im CT der Knorpel nicht sichtbar ist und nur der subchondrale Knochen dargestellt werden kann, kann in der Arthroskopie direkt der Zustand des Gelenksknorpels und der Fortschritt der Arthrose beurteilt werden.

SLT Horizontalschnitt Ellbogen OCD Defektion An Beiden Medialen Condylen Des Humeru Deutliche Sklerose Am Medialen Condylus Humeri

Durch eine Verknöcherungsstörung des inneren Gelenkknorpels am Humerus condylus können Knochenkrater enstehen, welche im CT erkennbar sind (OCD Defekt).

SLT Laengsschnitt Ellbogen ED FCP

Das abgebrochene Fragment (FCP) kann im weiteren Verlauf den Gelenksknorpel am Humerus condylus beschädigen, sodass der Knochen nicht mehr von einem Knorpel überzogen ist.

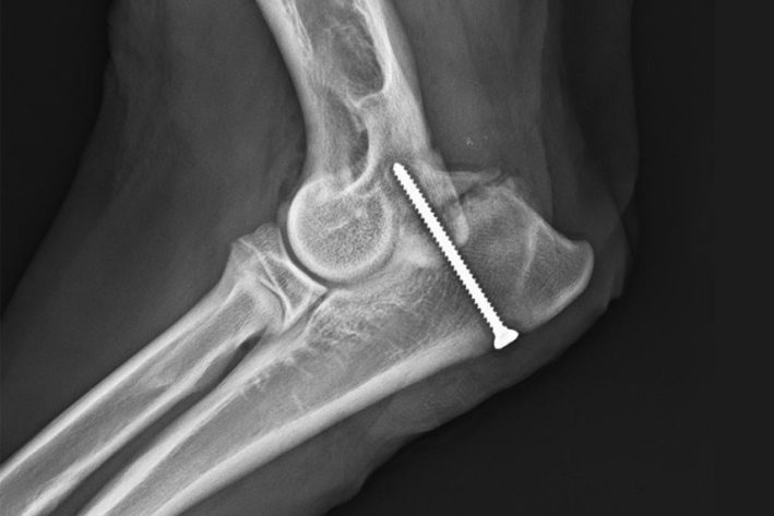
Therapie des isolierten Processus anconeus (IPA)

Der Processus anconeus sollte beim Schäferhund im Alter von 16-20 Wochen mit der Elle verwachsen sein. Bei sehr großen Hunden, z.B. Deutschen Doggen, kann dies manchmal auch erst mit 24-26 Wochen der Fall sein. Erst danach kann man, im Falle des Ausbleibens der Verwachsung, von einem IPA sprechen.

Sofern noch keine Arthrosen vorliegen, kann die Fusion (Vereinigung) des Proc. anconeus versucht werden. Bei sehr jungen Hunden mit Ellbogendysplasie, bei denen ein „short ulna“ Syndrom, also eine verkürzte Elle vorliegt, kann manchmal allein durch eine sogenannte „Ulnaosteotomie“ eine Verbindung des Proc. anconeus mit der Elle hergestellt werden. Die Ulnaosteotomie ermöglicht ein Rutschen der Elle in ihre normale Position und damit eine Verlängerung der Elle. Hunde, die etwas älter sind, werden durch Anschrauben des Proc. anconeus behandelt. Im Falle eines „short ulna“ Syndroms wird eine Kombination aus Anschrauben und Ulnaosteotomie durchgeführt. Manchmal werden die Hunde erst vorgestellt, wenn sie ausgewachsen sind, oder wenn bereits starke Arthrosen vorliegen. In diesen Fällen kann der Proc. anconeus nur noch chirurgisch entfernt werden. Das Gelenk wird dadurch nur minimal destabilisiert und die Hunde zeigen in der Regel keine Probleme nach einer Entfernung.

Isolierter Proc. Anconeus

Isolierter Pro. Anconeus vor dem Anschrauben

Proc. Anconeus Mit Schraube

Isolierter Proc. Anconeus nach dem Anschrauben

Isolierter Proc. Anconeus Nach Anheilung

Isolierter Proc. Anconeus nach Anheilung

CT Fissur Am Proc. Coronoideus

CT Aufnahme: deutliche Fissur am linken Proc. Coronoideus (Pfeil)

Röntgen: die vermehrte Skleorisierung der Elle

Röntgen: die vermehrte Skleorisierung der Elle dieses Hundes könnte ein Hinweis auf einen FCP sein.

Therapie der Inkongruenz

Eine Ellbogendysplasie beim Hund mit deutlicher Inkongruenz kann in vielen Fällen durch eine Durchtrennung der Elle, eine sogenannte Ulnaosteomie oder Ulnaostektomie behandelt bzw. zumindest gebessert werden.

Ulnaostektomie
Ideal ist es, wenn die Hunde in einem Alter von bis zu 6 Monaten vorgestellt werden. In diesem Fall sind die Bänder, welche Elle und Speiche verbinden, noch so weich, dass die deutlich weniger belastende „distale (untere) Ulnaostektomie“ durchgeführt werden kann. Hierbei wird im unteren Bereich der unteren Elle, direkt oberhalb der Wachstumsfuge, ein kleines Stück Knochen entfernt. Im Laufe der nächsten Wochen kann sich die Elle, die nun nicht mehr unten „festgehalten“ wird, in ihrer Länge der Speiche anpassen, bis sie nach einigen Wochen wieder zusammengewachsen ist. Wann immer möglich ziehen wir diese OP der proximalen Ulnaosteotomie vor, da die Hunde nur sehr kurz und nur wenig lahm gehen.

Das Zeitfenster für diese OP schließt sich mit ca. 6 Monaten (bei Riesenrassen etwas später). Danach ist das Band zwischen Elle und Speiche so steif, dass sich die Elle nicht mehr in ihrer Höhe angleichen kann. In diesem Fall muss die „proximale (obere) Ulnaosteotomie“ durchgeführt werden.

Ulnaosteomie
Wir führen die sogenannte „Bi-oblique dynamische proximale Ulnaosteotomie“ durch. Das bedeutet, dass der Sägeschnitt in beiden Ebenen sehr schräg (bi-oblique) durchgeführt wird. „Dynamisch“, weil der Schnitt nicht durch Implantate fixiert wird und dadurch eine Bewegung der Elle in die richtige Position möglich ist. „Proximal“, da im oberen Abschnitt der Elle operiert wird. In der Praxis wird der Schnitt ca. nach dem ersten Drittel der Elle begonnen. Durch diesen bi-obliquen Schnitt wird dem Risiko des „Abkippens“ des oberen Segmentes entgegengewirkt.

Diese OP-Methode ermöglicht sowohl eine Therapie der zu langen, als auch der zu kurzen Elle. Der Nachteil dieser OP Methode ist, dass die Hunde sehr viel deutlicher und länger lahm gehen, als dies bei der distalen Ostektomie der Fall ist. Denn dadurch, dass die Osteotomie nicht fixiert wird, dauert es manchmal sehr lange, bis die Elle wieder zusammen gewachsen ist. In jedem Fall ist mit einem Heilungsverlauf von mind. 3 Monaten zu rechnen.

Distale Ulnaostektomie

Distale Ulnaostektomie Vermessungsröntgen, pre und postoperativ

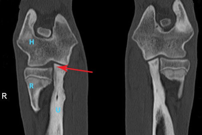
CT Inkongruenz Ellbogen

CT Aufnahme eines Hundes mit einer deutlichen Inkongruenz des rechten Ellbogengelenkes: Der Radius (R) hat einen deutlichen Abstand zum Humerus (H), weil die Ulna (U) zu lange ist.

Therapie bei Medialem Kompartment Syndrom und fortgeschrittenen Arthrosen

Sollte Ihr Hund bereits an fortgeschrittenen Arthrosen leiden, werden wir die Therapieoptionen mit Ihnen besprechen. In einigen Fällen macht es Sinn, das Gelenk ggf. nochmals arthroskopisch zu beurteilen und eventuelle Fragmente zu entfernen. In extrem fortgeschrittenen Fällen bleiben jedoch nur noch wenige Behandlungsoptionen übrig.

Medial Compartment Syndrom

Medial Compartment Syndrom: die rötlichen Flächen stellen den freiliegendes Knochen dar.

FCP Beim Hund

FCP (Fragmented Coronoid Process - häufige Erkrankung beim Hund) Entfernung des Fragments mittels Arthroskopie

Chirurgische Therapie

Leider ist die Entwicklung künstlicher Ellbogengelenke bisher nicht so weit fortgeschritten, wie die künstlicher Hüftgelenke. Die Komplikationsrate ist hoch und bei Versagen des künstlichen Gelenkes bleibt meist nur noch die Amputation.

In wenigen Fällen, in denen ausschließlich das mediale (innere) Kompartment betroffen ist und das laterale (äußere) noch komplett von intaktem Knorpel bedeckt ist, gibt es alternative Methoden. Dazu gehören die „sliding humeral osteotomy“ (SHO), die „proximal abducting ulna osteotomy“ (PAUL) oder die „Canine unicompartimental elbow“ (CUE). Bei SHO und PAUL soll durch eine Umstellungsosteotomie des Humerus (SHO) oder der Ulna (PAUL) das mediale Kompartment entlastet und die Belastungsachse nach außen verfrachtet werden. Bei einer CUE wird je ein Teilimplantat in Humerus und Ulna eingesetzt. Dieses bietet eine neue Oberfläche aus Kunstmaterialien für den innen Bereich des Ellbogens. Bisher hat sich keine dieser Methoden als wirklich überlegen durchgesetzt. Bitte sprechen Sie uns an, ob eine dieser Methoden für Ihren Hund ggf. in Frage kommt.

Injektionstherapie

Gelenksinjektionen sind ein guter Weg, die Schmerzen Ihres Hundes kurzfristig zu reduzieren. Bei fortgeschrittenen Arthrosen kommt hier in der Regel eine Kombination aus Hyaluronsäure und einem lokal injizierbaren Kortison zum Einsatz. Einige Hunde kommen unter dieser Therapie so gut zurecht, dass die Injektion nur alle paar Monate wiederholt werden muss.

Wenn die Arthrose noch nicht so weit fortgeschritten ist, haben wir seit einiger Zeit auch die Möglichkeit, sogenanntes „Autologous Conditioned Plasma“ (ACP) zum Einsatz zu bringen. Idealerweise wird diese mit einem arthroskopischen Eingriff kombiniert. Das ACP wird aus dem eigenen Blut Ihres Hundes gewonnen. Hierfür wird das Blut in einer speziellen Zentrifuge, welche wir im Haus haben, zentrifugiert. Dieses mit Wachstumsfaktoren angereicherte Plasma wird im Anschluss in das Gelenk Ihres Hundes eingespritzt. In einigen wenigen Fällen werden wir dies u.U. auch als alleinige Therapie bei Ihrem Hund anwenden.

Ergänzende Behandlungsmöglichkeiten

Physiotherapie mit Unterwasserlaufband sowie Schwimmen sind weitere Möglichkeiten, das Gelenk ohne Überlastung beweglich und die Muskulatur intakt zu halten.

Besonders wichtig ist außerdem ein gesundes Gewichtsmanagement, da jedes Gramm zu viel ein arthrotisches Gelenk zusätzlich belastet. Futterzusätze wie Grünlippmuschel, Glucosaminoglykane und Omega 3 Fettsäuren haben zusätzlich positive Effekte.

Prognose

Die Prognose bei der Ellbogendysplasie (ED) beim Hund hängt stark von der Grundursache ab.
Im Falle eines FCP ist in sehr vielen Fällen mit dem Fortschreiten der Arthrose zu rechnen. Man muss sich die Erkrankung vorstellen wie einen Kieselstein in einem zu engen Schuh. Wird das Fragment (der Kieselstein) entfernt, wird es auf jeden Fall zunächst weniger schmerzen. Die Druckstellen durch den zu engen Schuh werden jedoch trotzdem zunehmen. Genauso ist es bei einem Gelenk, in dem das Zusammenspiel zwischen den drei beteiligten Knochen nicht optimal funktioniert: die Arthrose wird fortschreiten. Wie lange dies dauert, kann niemand vorhersehen – es gibt Hunde, die über viele Jahre bis ins hohe Alter nach einem FCP gut zurecht kommen und kaum Probleme zeigen. Es gibt jedoch auch Hunde, bei denen das Gelenk bereits im Alter von einem Jahr so schwer geschädigt ist, dass ein schmerzfreier Zustand nur unter dauernder Schmerzmittelgabe erreicht werden kann.
Im Falle eine IPA ist die Prognose im Allgemeinen als besser anzusehen. Wenn der Proc. anconeus anwächst, können die Hunde in den meisten Fällen ein ganz normales Leben führen. Auch wenn der Processus entfernt werden muss, kommen die Hunde in der Regel gut damit zurecht und die Arthrose schreitet nur wenig fort.
Die beste Prognose hat das „Jump down“ Syndrom.

Quellen
  • Tobias KM & Johnston SA (2012): Veterinary surgery small animal. Elsevier, St. Louis, 1. ed.
  • Caron A, Fitzpatrick N. Bi-Oblique Dynamic Proximal Ulnar Osteotomy: Surgical Technique and Clinical Outcome in 86 Dogs. Vet Surg. 2016 Apr;45(3):356-63.
  • Vezzoni A, Benjamino K. Canine Elbow Dysplasia: Ununited Anconeal Process, Osteochondritis Dissecans, and Medial Coronoid Process Disease. Vet Clin North Am Small Anim Pract. 2021 Mar;51(2):439-474
Dr. Riccarda Schünemann

Dr. Riccarda Schünemann

Dipl. ECVS, FTÄ für Kleintierchirurgie, FTÄ für Kleintiere

  • Orthopädische Chirurgie
  • Weichteilchirurgie
  • Neurochirurgie
WordPress Cookie Hinweis von Real Cookie Banner