Milztumor beim Hund (Hämangiosarkom)

Im Anfangsstadium der Erkrankung sind Hunde mit einem Milztumor, wie bei vielen anderen Tumoren der Körperhöhlen, symptomfrei oder zeigen- wenn überhaupt- nur sehr unspezifische Symptomatik. Dazu gehören u.a. Lethargie, Leistungsschwäche oder verminderter Appetit.
Bei mehr als der Hälfte der Hunde mit tumorösen Veränderungen der Milz, sind plötzlich auftretende Apathie bis hin zu akutem Kreislaufzusammenbruch, Inappetenz und ein praller Bauch ein häufiger Vorstellungsgrund in der Klinik. Grund hierfür ist meist eine akut auftretende Blutung in den Bauchraum durch einen aufgebrochenen Tumor. Diese stellt mitunter eine akute Lebensgefahr für den Hund dar.
Milztumore können von unterschiedlichem Ursprungsgewebe ausgehen. Die häufigsten Tumore der Milz beim Hund sind Hämangiosarkome – bösartige Tumore, die von Zellen der Blutgefäße ausgehen. Jedoch auch gutartige Hämatome, die plötzlich aufplatzen, können zu einer akuten Kreislaufinsuffizienz bis hin zum Tod des Hunde führen, wenn sie nicht rechtzeitig erkannt und behandelt werden. Aufschluss darüber, ob es sich um ein bösartiges oder gutartiges Tumorgeschehen handelt, kann jedoch nur eine pathohistologische Untersuchung des veränderten Gewebes bringen.
Bei jeglichen Tumoren ist die operative Entfernung der Milz und im Falle eines bösartigen Tumors ggf. eine anschließende Chemotherapie die Therapie der Wahl. Die Prognose hängt von der Art des Tumors ab. Bei gutartigen Tumoren haben die Hunde eine normale Lebenserwartung. Nach einem Hämangiosarkom beträgt die mittlere Überlebenszeit jedoch aufgrund der häufigen Metastasierung (Verschleppung von Tumorzellen) nur wenige Monate.

Ursache

Die Gründe für die Entstehung sowie das verhältnismäßig häufige Vorkommen von Milztumoren bei Hunden sind unklar. Verschiedene Gen- und Enzymrezeptormutationen werden als Ursache diskutiert. Hämatome können manchmal durch ein stumpfes Bauchtrauma entstehen, meist ist aber auch hier die Ursache unklar.

Neben Hämangiosarkomen können auch andere Sarkome in der Milz auftreten, ferner Lymphome sowie Mastzelltumoren. In letzteren Fällen ist ein akutes Aufplatzen jedoch deutlich seltener zu beobachten.

Epidemiologie – Welche Hunde sind häufiger betroffen

Verglichen mit anderen Spezies, wie auch dem Menschen, kommen tumoröse Veränderungen der Milz beim Hund häufig vor. Mittelgroße bis große Rassen sind häufiger betroffen, wobei einige Rassen eine deutliche Krankheitshäufung aufweisen. Zu diesen Rassen zählen der Deutsche Schäferhund, Boxer, Flat Coated/Golden/Labrador Retriever, sowie Berner Sennenhunde. Der Deutsche Schäferhund ist unter den Tumorträgern mit bis zu 40% überproportional häufig betroffen. Katzen sind von Milztumoren selten betroffen.

In der Regel betrifft die Tumorerkrankung ältere Tier im Alter von 9-10 Jahren.

Symptome

Wie die meisten Bauchhöhlentumore, sind auch Milztumore im Anfangsstadium weitgehend symptomfrei oder zeigen unspezifische Symptomatik. Dazu gehören Lethargie, Leistungsschwäche oder verminderter Appetit, vermehrte Wasseraufnahme und damit verbundener häufiger Harndrang, Erbrechen oder auch Zunahme des Bauchumfanges.

Im fortgeschrittenen Stadium kann es zum Aufplatzen des Tumors kommen. Dies ist in Folge mit einem oft massiven Blutverlust und damit verbundenen Kreislaufversagen verbunden. Die meisten Hunde werden erst zu diesem Stadium auf Grund von plötzlichen akuten Bauchschmerzen (meist ohne Traumavorbericht) und Kreislaufproblemen auffällig. Durch den plötzlichen Blutverlust zeigt der Hund oft ein deutlich vermindertes Allgemeinbefinden, Schwäche und porzellanweiße Schleimhäute. Blutet ein Tumor nur leicht, oder bricht immer wieder mal leicht auf, dann sind die Sympome meist über Wochen und Tage, mal mehr mal weniger stark für den Besitzer zu beobachten und deshalb weniger alarmierend. Die Prognose ist vom Tumortyp und nicht von der Art der Blutung abhängig.

Diagnose

Auf Grund des Alters, sowie der Rasse und Körpergröße des Hundes, des Vorberichtes und der klinischen Symptomatik kann sich häufig bereits der Verdacht auf einen aufgebrochenen, akut blutenden Tumor ergeben.

Besteht nach Erhebung des Vorberichtes und Durchführung der klinischen Untersuchung der Verdacht, dass es sich um einen akut blutenden Milztumor handeln könnte, werden Laboruntersuchungen und bildgebende Verfahren zur Bestätigung der Verdachtsdiagnose eingeleitet.

Die Anfertigung eines Blutbildes gibt Aufschluss darüber, ob ein Blutverlust besteht. Bei den Blutbildveränderungen findet sich am häufigsten eine Anämie (zu wenige rote Blutkörperchen) und Leukozytose (Erhöhung der weißen Blutkörpechen), sowie eine Thrombozytopenie (zu wenige Blutplättchen).

Röntgenaufnahmen der Bauchhöhle zeigen häufig eine Umfangsvermehrung im mittleren oder vorderen Bauchbereich, sowie verminderte Detailerkennbarkeit der einzelnen Organe, welche durch die Blutung in den Bauchraum zustande kommt. Auf Grund der hohen Metastasierungsrate sollte zusätzlich stets die Lunge in mehreren Ebenen geröntgt werden. Selbst bei guter Röntgentechnik muss man jedoch von einem hohen Anteil nicht erkennbarer Metastasen ausgehen. Eine CT- Untersuchung kann den Anteil der erkennbaren Metastasen erhöhen, aber auch diesem Verfahren können ganz kleine Metastasen nicht gesehen werden.

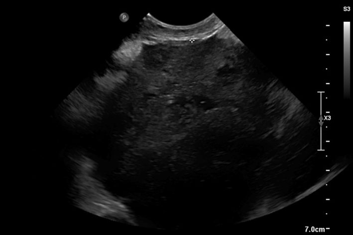
Mittels Ultraschalluntersuchung kann die Veränderung des Milzgewebes dargestellt werden. Im Frühstadium zeigt sich meist nur eine lokale Veränderung von Milzgewebe, sodass eine deutliche Masse abgegrenzt werden kann. Im fortgeschrittenen Stadium ist jedoch eine Zuordnung zur Milz nicht immer zweifelsfrei möglich. Eine Aussage darüber, ob es sich um eine gutartige oder bösartige Veränderung von Gewebe handelt, kann mittels Ultraschalluntersuchung nicht getroffen werden. Der Ultraschall erlaubt zusätzlich, die anderen Bauchorgane hinsichtlich Metastasierung zu untersuchen. Da Hämangiosarkome immer wieder einmal in den rechten Vorhof des Herzens metastasieren, sollte auch ein Herzultraschall durchgeführt werden.

Sollte sich freie Flüssigkeit im Bauchraum befinden, kann diese ultraschallgestützt punktiert und somit festgestellt werden, ob es sich um eine Blutung handelt.

Physiologische Färbung der Maulschleimhaut -

Physiologische Färbung der Maulschleimhaut - "blassrosa"

Anämische Maulschleimhaut -

Anämische Maulschleimhaut - "porzellanweiß"

Darstellung eines Milztumors im Ultraschall

Darstellung eines Milztumors im Ultraschall

Darstellung eines Milztumors im Röntgen

Darstellung eines Milztumors im Röntgen

Therapie

Die Therapie der Wahl ist die operative Entfernung des Tumors inklusive der gesamten Milz. Im Falle eines bösartigen Tumors empfiehlt sich eine anschließende Chemotherapie. Ist der Tumor noch nicht aufgebrochen, sondern wurde beispielsweise als Zufallsbefund während einer routinemäßigen Ultraschalluntersuchung des Bauches festgestellt, kann die Operation zu einem geplanten Termin erfolgen. Bei akut bestehender Blutung handelt es sich um eine Notoperation, welche nach entsprechender Kreislaufstabilisierung sofort durchgeführt werden muss.

Ablauf einer Milztumor-Operation

In Narkose wird der Bauch rasiert, gewaschen und aseptisch vorbereitet. Handelt es sich um eine Notoperation auf Grund eines bereits aufgebrochenen, akut blutenden Milztumor, bleibt der Patient postoperativ in der Regel zur Überwachung stationär in der Klinik. Je nach Allgemeinzustand des Patienten, sowie der Höhe des Blutverlustes, kann es sein, dass auch eine Bluttransfusion benötigt wird.

Handelt es sich bei der Operation um einen geplanten Eingriff zur Entfernung eines nicht blutenden Tumors, erfolgt der Eingriff in der Regel ambulant und der Patient kann am selben Tag nach Hause entlassen werden.  Der genaue Ablauf wird Ihnen persönlich genau erklärt.

Postoperativ sind EKG-Kontrollen unerlässlich, da es vor allem im Falle von aufgeplatzten Milztumoren zu Herzrhythmusstörungen kommen kann.

Prognose

Die Prognose beim Hämangiosarkom ist bei alleiniger operativer Tumor-/Milzentfernung schlecht mit einer mittleren Überlebenszeit von ca. 3 Monaten. Mit einer anschließenden Chemotherapie kann bei etwa 20-30% der Patienten eine Lebensverlängerung über ein Jahr erzielt werden. Bestehen bei Diagnosestellung bereits sichtbare Metastasen ist die Prognose infaust und eine Euthanasie ist in Erwägung zu ziehen.

Handelt es sich jedoch um ein Myelolipom oder ein aufgeplatztes Hämatom, so haben die Hunde nach operativer Entfernung eine relativ normale Lebenserwartung. Daher ist eine pathohistologische Untersuchung des entferntes Gewebes unumgänglich.

Quellen
  • Tobias KM & Johnston SA (2012): Veterinary surgery small animal. Elsevier, St. Louis, 2. ed., Volume 2
  • Fossum TW (2013): Small animal surgery. Elsevier, St. Louis, 4. ed.
  • Kessler M (2013): Kleintieronkologie, Enke, Stuttgart, 3. Auflage
  • Withrow SJ et al (2012): Withrow & MacEwen’s Small Animal Clinical Oncology, St. Louis, 5. ed.
  • Vnuk D, Gusak V, Schwendenwein I et al.; Clinical characteristics and outcomes in 43 dogs with splenic masses of different origin; Wiener Tierärztliche Monatsschrift;101 (2014)
MVDr. Raz Better

MVDr. Raz Better

  • Allgemeinmedizin
  • Intensivmedizin
  • Onkologie
WordPress Cookie Hinweis von Real Cookie Banner