Hautknoten

Knotige Hautveränderungen kommen bei Hund und Katze sehr häufig vor und verursachen beim Tierbesitzer verständlichweise Verunsicherung. Doch nicht jeder Hautknoten ist Gott sei Dank immer gleich ein Tumor. Auch entzündliche Erkrankungen unterschiedlicher Ursache können Hautknoten verursachen.

Ursache

Es ist unmöglich, durch bloßes Anschauen und Betasten eines Hautknotens (also einer Umfangsvermehrung in oder unter der Haut) beurteilen zu können, ob dieser nun harmlos oder besorgniserregend ist. Das heißt aber auch nicht, dass jeder Knoten gleich chirurgisch entfernt werden muss!

Mögliche Ursachen eines Hautknotens – neben einem gut-bzw. bösartigem Tumoren- sind Insektenstiche, verstopfte Talgdrüsen, Abszesse, Hautreaktionen auf eine Injektion oder Impfung, infektiöse Hauterkrankungen etc.

Symptome

In den warmen Jahreszeiten sind Zecken häufig die Ursache von plötzlich auftretenden Knubbeln in der Haut. Der Bereich um einen Zeckenbiss kann dabei anschwellen und ist häufig gerötet. Auch Insektenstiche, vor allem von Bienen oder Wespen, können im Kopfbereich zum Teil recht grosse Schwellungen verursachen. Meist verlaufen solche Insektenstiche harmlos.

Vor allem bei älteren Hunden sind verstopfte Talgdrüsen eine häufige Ursache für Knubbel in der Haut. Der in den Drüsen produzierte Talg wird normalerweise kontinuierlich abgegeben und sorgt für eine geschmeidige Haut. Wenn der Ausführungsgang einer Talgdrüse durch abgeschilferte Hautzellen oder eingetrockneten Talg verstopft ist, kann der Talg nicht mehr abfliessen und er sammelt sich in einer Zyste unter der Haut an, die langsam wächst.

Wenn man an seinem Tier plötzlich eine Schwellung oder einen Hautknoten feststellt, so kann es sich auch um einen Abszess handeln. Solche Eiterbeulen entwickeln sich häufig nach Biss- oder Krallenverletzungen durch Katzen, Hunde oder Wildtiere. Sie sind anfänglich oft sehr schmerzhaft und können, wenn sie einige Zeit unbemerkt bleiben, aufplatzen und den Eiter nach aussen entleeren. Schmerzhafte Schwellungen sollten daher immer tierärztlich untersucht werden.

Empfindliche Tiere können nach einer Impfung oder einer anderen Injektion an der Einstichstelle mit einer Schwellung reagieren. Solche Spritzenreaktionen klingen meistens nach wenigen Tage wieder ab.

Umfangsvermehrungen in oder unter der Haut können auch Tumore sein. Die Haut ist bei Hunden und Katzen sogar das Organ, welches am häufigsten von Tumoren betroffen ist. Ein Teil davon ist gutartig und macht keine grossen Probleme, aber es gibt auch bösartige Hauttumore, bei denen man möglichst früh reagieren sollte. Bei Hunden sind nur etwa 20-30%, bei Katzen jedoch 40-70% der Hauttumore bösartig. Vom Aussehen her kann man nie genau sagen, um welchen Tumor es sich handelt.

Hautknoten am Ohr eines Hundes

Hautknoten am Ohr eines Hundes

Kautknoten (Histiozytom) am Ohrrand

Hautknoten (Histiozytom) am Ohrrand

Diagnose

Wenn Sie daher einen Knoten in der Haut Ihres Tieres entdecken, dessen Ursache Sie sich nicht erklären können und der auch nach wenigen Tagen nicht verschwunden ist, dann sollte es sich ein Tierarzt genauer ansehen.

Wurde früher bei Hauttumoren häufig geraten, abzuwarten und zu beobachten, ob der Tumor wächst, wird heute so rasch als möglich versucht, die Art des Tumors genau zu bestimmten. Nur so können Verlauf und Prognose abgeschätzt und für das einzelne Tier eine sinnvolle Therapie bestimmt werden.

Bei der Feinnadelbiopsie wird eine feine Nadel in diesen Knoten gestochen und so Material aus diesem entnommen. Dieses Material wird dann – nach entsprechendem Aufbereiten und Färben – unter dem Mikroskop beurteilt. Diese Prozedur ist kaum schmerzhaft, es ist keine Narkose notwendig und oft kann innerhalb weniger Minuten schon eine klare Aussage über die Natur eines Hautknotens (ob eine Entzündung oder ein Tumor vorliegt) gemacht werden.

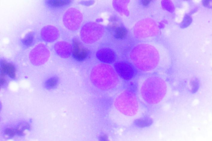
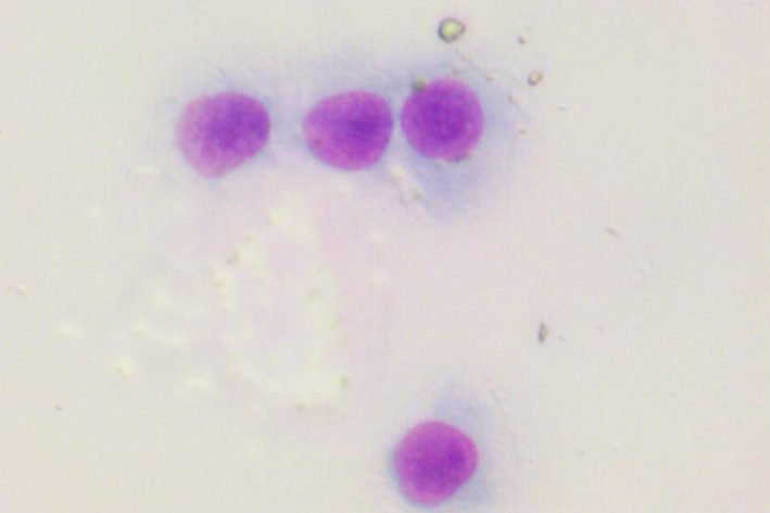
Zytologische Untersuchung eines Hautknotens

Mittels zytologischer Untersuchung kann die Diagnose sofort gestellt werden

Zytologie Histiozytom

Zytologie Histiozytom

Therapie

Handelt es sich um eine entzündliche Veränderung, so kann man jetzt mit ruhigem Gewissen (je nach Veränderung mit oder ohne Therapie zuwarten. Stellt sich heraus, dass es sich um einen (va bösartigen) Tumor handelt, so hat man keine wertvolle Zeit verschwendet und er kann nun zum frühestmöglichen Zeitpunkt chirurgisch entfernt werden. Bei bösartigen Hauttumoren wird vor der OP genau geschaut, ob der Patient keine Metastasen in anderen Körperregionen hat.

Quellen
  • Peters S., Koch H.-J., (2014) Dermatologie-Atlas Hund, Krankheitsbilder und typische Verteilungsmuste
  • Noli C., Scarampella F., Toma S., (3.Auflage) Praktische Dermatologie bei Hund und Katze, Klinik – Diagnose – Therapie.
  • Kessler M.,(2012) Kleintieronkologie: Diagnose und Therapie von Tumorerkrankungen bei Hunden und Katzen
Mag. Johannes Kriechbaumer

Mag. Johannes Kriechbaumer

  • Dermatologie
  • Labordiagnostik
  • Endoskopie
WordPress Cookie Hinweis von Real Cookie Banner