Patellaluxation (Kniescheibenluxation) beim Hund

Bei der Patellaluxation handelt es sich um ein Verrutschen der Kniescheibe aus ihrer Rinne (Sulcus). In den meisten Fällen rutscht sie nach medial, also nach innen. Nur in sehr wenigen Fällen nach lateral, also außen. Kleine Hunde- und Zwergrassen sind weitaus häufiger betroffen. Eine Patellaluxation tritt aber auch immer wieder bei größeren Rassen auf.
Man unterteilt die Patellaluxation je nach Schwere in vier Grade. Während eine Grad 1 Luxation normalerweise nur im Rahmen einer tierärztlichen Untersuchung festgestellt wird und der Hund keinerlei merkliche Symptome aufweist, wird ein Hund mit einer Grad 4 Luxation sehr starke Beeinträchtigungen im Gangbild zeigen.
Die Kniescheibe rutscht über den Rand (Rollkamm) ihrer Rinne (Sulcus) hinaus und reibt nach und nach den Gelenksknorpel ab. Langfristig entsteht eine Arthrose. Deren Ausprägung steht in Abhängigkeit der Dauer des Bestehens und der Häufigkeit des Auftretens der Luxation.
Ob eine Operation empfohlen wird, hängt vor allem von den klinischen Beschwerden sowie vom Grad der Luxation ab. Eine Grad 3 und 4 Luxation sollten immer chirurgisch versorgt werden. Bei einer Grad 2 Luxation ist dies abhängig davon, wie stark die Beschwerden des Hundes sind. Der Grad einer Luxation kann sich mit Fortschritt der Erkrankung auch verschlechtern. Im Allgemeinen ist die Prognose als gut bis sehr gut anzusehen.

Ursache

  • Angeborene Ursachen

Bei den meisten Hunden spielt die genetische Komponente die größte Rolle. Der Sulcus am unteren Oberschenkelknochen, in dem die Patella läuft, ist zu flach ausgeprägt. Der Knochenvorsprung des Unterschenkelknochens (Tuberositas tibiae), an dem die Patellarsehne ansetzt, liegt zu weit innen. Der Unterschenkelknochen (Tibia) ist nach innen verdreht. Manchmal liegt auch eine Fehlstellung des unteren Oberschenkelknochens (Femur) vor.

  • Trauma

Bei einigen Hunden kann auch ein Trauma einer Wachstumsfuge während der Wachstumsphase ursächlich sein. Sollte die Wachstumsfuge „schief“ verheilen, kann es zu einer Fehlstellung des Oberschenkel-, seltener auch des Unterschenkelknochens kommen. In der Folge dieser knöchernen Veränderungen kann die Patella nicht mehr gerade in ihrem Sulcus laufen und rutscht bei der Bewegung aus ihm heraus.

In sehr seltenen Fällen kommt es traumatisch, durch einen Abriss des Halteapparates der Patella, zu einer Luxation. Diese Tiere haben zwar keine Fehlstellung der Knochen, dennoch ist es in dem meisten Fällen nötig, auch operative Veränderungen am Knochen durchzuführen, da das Vernähen der Weichteile meist nicht ausreicht.

Komorbidität (Begleiterkrankung)

Es gibt viele Hunde mit einer Grad 1 oder auch Grad 2 Patellaluxation, die nie klinisch auffällig werden, bis im Laufe des Lebens ein Riss des vorderen Kreuzbandes hinzu kommt. Durch diesen kommt es zu einer vermehrten Innenrotation, sodass sich auch der Grad der Patellaluxation häufig verschlechtert und die Hunde plötzlich, im fortgeschrittenen Alter, mit einer Patellaluxation auffällig werden. Hier ist es wichtig, unbedingt beide Probleme zu behandeln. Eine alleinige Operation der Patellaluxation wird nicht von Erfolg gekrönt sein, wenn der Kreuzbandriss nicht mitbehandelt wird.

Epidemiologie – Welche Hunde sind häufiger betroffen

Am häufigsten sind kleine Rassen und Zwergrassen von einer Patellaluxation betroffen. Typische Vertreter sind der Yorkshire Terrier, der Pomeranian (Zwergspitz) und der Chihuahua, aber auch kleine Mischlinge leiden häufig unter einer Patellaluxation. Bei den großen Rassen sind vor allem der Labrador Retriever sowie der Entlebucher Sennenhund zu nennen. Auch bei diesen großen Rassen geht die Luxation meist nach medial, also nach innen. Jedoch kommt bei ihnen die Luxation nach lateral, also außen, etwas häufiger vor als beim kleinen Hund.

Symptome

Da die Luxation nicht permanent, sondern nur intermittierend vorliegt, zeigen Hunde mit einer Patellaluxation keine durchgehende Lahmheit. Typisch ist, dass sie die meiste Zeit völlig normal laufen, und dann ab und zu „hüpfen“. Dabei heben die Hunde eine Hintergliedmaße in die Luft und laufen kurzfristig auf drei Beinen, bis die Kniescheibe wieder in die richtige Position rutscht. Nur in seltenen Fällen scheint dies mit Schmerzen assoziiert zu sein.

Diagnose

Die Diagnosestellung erfolgt in der Regel während einer orthopädischen Untersuchung durch Abtasten. Zusätzlich können auch Röntgenbilder und mglw. eine Computertomografie angefertigt werden. Dadurch können eventuelle Fehlstellungen im Bereich der Knochen besser beurteilt werden. Dies ist wichtig um zu entscheiden, ob diese einer Therapie bedürfen.

Die wichtigsten Differentialdiagnosen stellen eine OCD am Sprunggelenk, ein Problem im Bereich des Hüftgelenkes oder eine Wirbelsäulenerkrankung dar. Sollte Ihr Hund eine stärkere Lahmheit zeigen, liegt häufig zusätzlich ein Kreuzbandriss vor.

Therapie

Grad 1 Patellaluxation

Eine Grad 1 Luxation kann möglicherweise einen Zuchtausschluss bedeuten. In der Regel zeigen diese Hunde jedoch keine Probleme, sodass sie auch nicht behandelt werden müssen.

Grad 2 Patellaluxation

Bei einer Grad 2 Luxation hängt es sehr stark davon ab, wie stark die Probleme Ihres Hundes sind und wie häufig diese auftreten. Eine individuell Beratung, ob eine Operation sinnvoll ist oder nicht, hat daher besondere Wichtigkeit. In manchen Fällen kann bereits eine Kräftigung der Muskulatur durch gezielte physiotherapeutische Übungen die Häufigkeit des Auftretens der Luxation verringern.

Grad 3 und 4 Patellaluxation

Eine Grad 3 und 4 Luxation wird in der Regel operiert. Es gibt hier keine feste Regel, wann der richtige Zeitpunkt für eine Operation ist. Man muss jedoch wissen, dass die Arthrosen fortschreiten, je länger die Luxation besteht, weil es zu einem zunehmenden Knorpelabrieb am Rollkamm des patellaren Sulcus kommt. Wenn die Kniescheibe Ihres Hundes mehrmals täglich luxiert, ist in jedem Fall eine Operation anzuraten.

Operationsmethoden

Die klassischen Operationsmethoden setzen sich zusammen aus einer:

• Vertiefung des Sulcus (Rinne) der Patella

• Versetzung der sogenannten Tuberositas tibiae (der Knochenvorsprung am Unterschenkel, an dem die Sehne der Kniescheibe, die sog. „Patellarsehne“ ansetzt)

• Raffung der Gelenkskapsel und der Faszie auf der der Luxation gegenüberliegenden Seite

In manchen Fällen kommen noch andere Methoden zum Einsatz wie z.B. ein antirotationeller Fadenzügel oder eine Verjüngung einer zu breiten Patella.

Sollte Ihr Hund über eine sehr deutliche Fehlstellung eines Knochens verfügen, wird es in einigen Fällen nötig werden, diese durch eine sogenannte Osteotomie zu beheben. Hierbei wird der Knochen durchgesägt, meist auch ein kleiner Keil entfernt, und der Knochen dadurch wieder gerade gerichtet. Im Anschluss wird er mit einer Platte wie nach einer Fraktur wieder fixiert. In einigen Fällen ist diese Fehlstellung die alleinige Ursache und ein Geraderichten des Knochens reicht bereits aus, um die Patella wieder gerade in ihrem Sulcus laufen zu lassen.

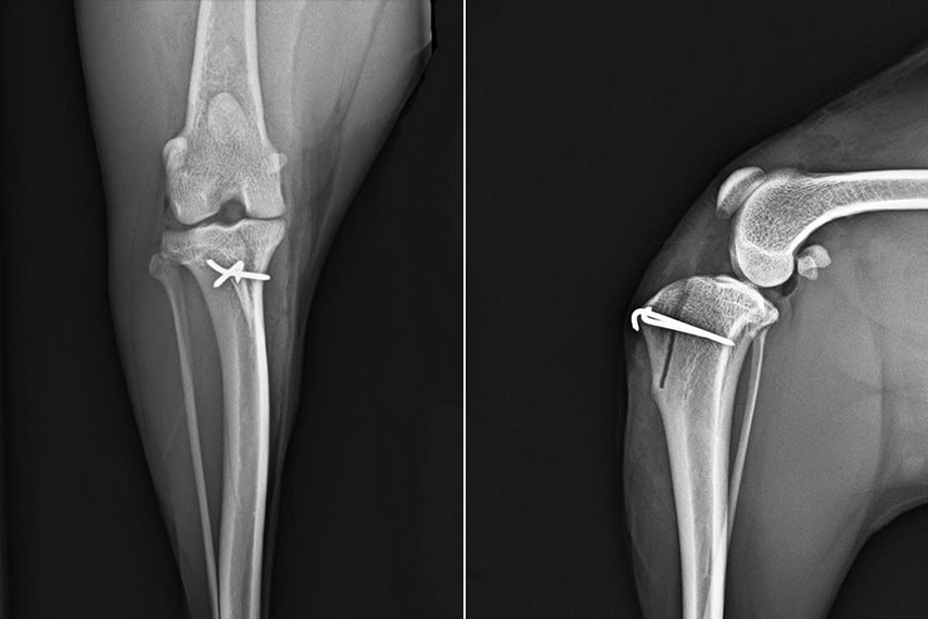
Patellaluxation post operativ

Patellaluxation post operativ

Prognose

Die Prognose nach einer operativen Versorgung ist im Allgemeinen als gut bis sehr gut anzusehen. Nur in wenigen Fällen kommt es erneut zu einer Luxation.

Quellen
  • Tobias KM & Johnston SA (2012): Veterinary surgery small animal. Elsevier, St. Louis, 1. ed.
  • DeCamp CE, Johnston SA, Dejardin LM, Schaefer SL (2016): Handbook of Small Animal Orthopedics and Fracture Repair. Elsevier, St. Louis
Dr. Riccarda Schünemann

Dr. Riccarda Schünemann

Dipl. ECVS, FTÄ für Kleintierchirurgie, FTÄ für Kleintiere

  • Orthopädische Chirurgie
  • Weichteilchirurgie
  • Neurochirurgie
WordPress Cookie Hinweis von Real Cookie Banner