Bandscheibenvorfall beim Hund

Schmerzhaftigkeit im Bereich der Wirbelsäule bis hin zu Lähmungserscheinungen der Gliedmaßen stellen einen häufigen Vorstellungsgrund beim Tierarzt dar. Bei kleinen Hunderassen wird hier häufig schon in jungem Alter die Diagnose Bandscheibenvorfall gestellt.
Aber auch große Rassen sind von Bandscheibenvorfällen betroffen, wobei diese eher im fortgeschrittenen Lebensalter auftreten. Neben einer zuverlässigen Diagnosestellung entscheidet der Schweregrad der Symptome, ob eine konservative Therapie oder eine Operation empfehlenswert ist. Die Prognose hängt dabei stark vom Zustand bei der Vorstellung ab. In jedem Fall ist eine Lähmung als Notfall anzusehen und sollte deshalb so schnell wie möglich tierärztlich abgeklärt werden.

Ursache

Bei zwergwüchsigen Rassen besteht eine angeborene Neigung dazu, einen Bandscheibenvorfall zu entwickeln. Dies rührt daher, dass die mit der Kleinwüchsigkeit einhergehende Chondrodystrophie zu einer Degeneration der Bandscheiben führen kann. Aus diesem Grund werden bei kleinen Rassen häufig schon in jungem Alter Bandscheibenvorfälle beobachtet. Aber auch bei großen Rassen kommen Bandscheibenvorfälle vor. Diese führen, ähnlich wie beim Menschen, meist zu Problemen im fortgeschrittenen Alter. Typische Lokalisationen für Bandscheibenvorfälle sind die Halswirbelsäule, die hintere Brustwirbelsäule, die gesamte Lendenwirbelsäule und der lumbosakrale Übergang.

Bild Hund mit Bandscheibenvorfall chondrodystoph

Klassifizierung

Wie akut sich der Vorfall darstellt, hängt unter anderem vom Typ des Vorfalles ab.

  1. Bei einer Bandscheibenvorwölbung (Protrusion) wölbt sich die Bandscheibe in den Wirbelkanal vor und der Verlauf ist typischerweise chronisch. Meist leiden die betroffenen Hunde unter einer chronischen Symptomatik mit wiederkehrendem Schmerz und mehr oder weniger schweren neurologischen, manchmal progressiv verlaufenden Ausfällen. Typisch ist diese Art von Vorfall beim Schäferhund und anderen großen Rassen im Bereich des lumbosakralen Übergangs. Bei diesen wird er unter dem Begriff „Cauda-Equina-Kompressionssyndrom“ zusammengefasst.
  2. Bei einer Extrusion tritt der gallertige Kern einer Bandscheibe durch den Faserring (Anulus fibrosus) in den Wirbelkanal vor. Diese Extrusion ist in der Regel mit einer Degeneration der Bandscheibe vergesellschaftet. Dabei weist der eigentlich gallertige Kern Verkalkungen knorpeliger Anteile auf und tritt durch einen aufgefaserten oder eingerissenen Anulus fibrosus aus. Dieser Prozess ist meist akut und führt dadurch in kurzer Zeit zu massiven Problemen mit neurologischen Ausfällen. Hunde mit einer Extrusion der Bandscheibe sind somit meist als Notfall anzusehen und erfordern ein gezieltes Vorgehen. Ob ein chirurgisches Handeln notwendig ist, hängt aber vom klinischen Zustand sowie der Bildgebung ab.

Symptome

Die Ausprägung des Krankheitsbildes hängt von verschiedenen Faktoren ab. Besonders die Lokalisation des Vorfalles, seine Art und Ausprägung bestimmen die Auswirkungen. Schmerzhaftigkeit bis hin zu neurologischen Ausfällen stellen die Leitsymptome dar.

Leichte Vorfälle verursachen oft keine Symptomatik oder nur leichte Schmerzen, welche unter Umständen mit Bauchschmerzen oder einer Lahmheit verwechselt werden können. Schwere Vorfälle können von Empfindungsstörungen in den Beinen bis zur kompletten Lähmung (Querschnittslähmung) führen. Häufig ist bei schweren Lähmungserscheinungen auch die Fähigkeit zum bewussten Harn- und Kotabsatz betroffen. Je nach Lokalisation des Vorfalles kann diese Lähmung nur die Hintergliedmaßen (im Falle von Bandscheibenvorfällen der hinteren Brust- und Lendenwirbelsäule, sogenannte „thorakolumbale“ Vorfälle) oder alle vier Extremitäten (bei einem Vorfall in der Halswirbelsäule) betreffen. Nur in speziellen Fällen ist lediglich ein Bein betroffen.

Die Einteilung nach Sharp & Wheeler (2005) stellt eine einfache Möglichkeit dar, die Schwere der Symptomatik nach einer fünfstufigen Skala einzuteilen und somit auch die Prognose besser bewerten zu können. Während der erste Grad lediglich aus Schmerzsymptomatik besteht, liegt beim fünften Grad eine vollständige schlaffe Lähmung der Gliedmaßen ohne Tiefensensibilität vor.

Einteilung der Symptomatik des Bandscheibenvorfalls

Einteilung der Symptomatik des Bandscheibenvorfalls nach Sharp & Wheeler (2005): Während beim leichteste Grad nur eine Schmerzhaftigkeit besteht, liegt beim Grad 5 eine vollständige Lähmung ohne tiefem Schmerzempfinden vor.

Diagnose

Häufig besteht anhand der Anamnese (Vorbericht) bei gewissen Symptomen (va starke Schmerzen,  Aufjaulen beim Hochheben etc.) und der Rasse schon der Verdacht eines Bandscheibenvorfalles. Mit einer ausführlichen klinischen sowie neurologischen und orthopädischen Untersuchung kann der Verdacht untermauert werden. Teilweise kann durch diese Unteruchungen auch schon eine Lokalisation der Problematik erfolgen. Mehr oder weniger akute neurologische Ausfälle im Zusammenhang mit einer Schmerzhaftigkeit an der Wirbelsäule sind ein starker Hinweis auf einen Bandscheibenvorfall.

Auch die Hundebesitzer können zu Hause mit einem einfachen Test auf neurologische Ausfälle überprüfen: Die Pfoten werden im Stehen abwechselnd mit dem Fußrücken aufgesetzt. Korrigiert der Patient diese Stellung nicht sofort selbständig, liegt meist ein neurologischer Ausfall vor und eine tierärztliche Untersuchung ist notwendig.

Ein Röntgenbild kann behilflich sein, um Veränderungen an der Wirbelsäule zu erkennen und den Ort der Lokalisation einzuschätzen. Die endgültige Diagnose und vor allem die Schwere der Rückenmarkseinengung kann nur mit Hilfe eines Schnittbildverfahrens gestellt werden. Hierfür werden eine Computertomographie (CT) oder Magnetresonanztomographie (MRT) durchgeführt. Das Schnittbild ist wichtig, um die Situation gewissenhaft einschätzen und damit abwiegen zu können, ob ein konservatives Vorgehen in Frage kommt oder eine Operation anzuraten ist. Wichtig ist es, auch andere Erkrankungen auszuschließen, welche zu einer ähnlichen Symptomatik führen können.

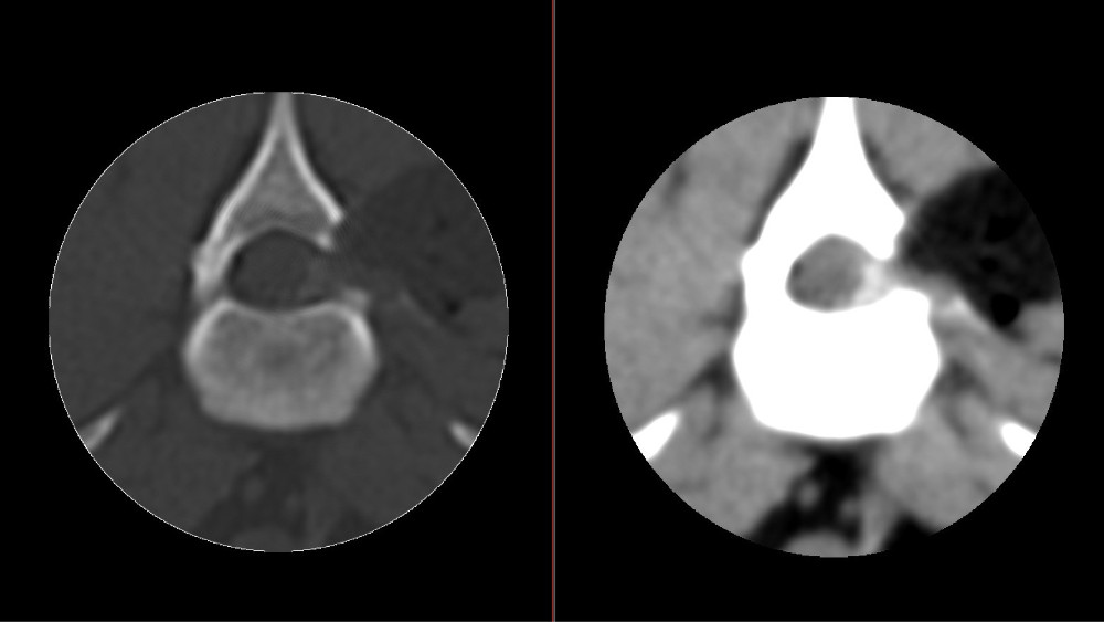
CT Bandscheibenvorfall Lendenwirbelsäule postoperativ

CT Bandscheibenvorfall Lendenwirbelsäule Quer- und Längsschnitte – links vor der OP – rechts postoperativ: vor der OP wird die Kontrastmittelsäule durch den Bandscheibenvorfall verdrängt – nach der OP kann sich die Kontrastmittelsäule ohne Verdrängung anlegen

Therapie

Konservative Versorgung

Sofern keine neurologischen Ausfälle vorliegen, ist ein konservatives Vorgehen (ohne Operation) gerechtfertigt. Ob in diesen Fällen eine Abklärung mittels Schnittbildverfahren erfolgt, muss individuell besprochen werden. Die konservative Therapie umfasst strikte Ruhighaltung über mehrere Wochen, bis sich der Bandscheibenvorfall durch Fibrose wieder stabilisiert hat, sowie eine adäquate Schmerztherapie. Die Schmerztherapie kann mit Entzündungshemmern, Schmerzmitteln gegen neuropathische Schmerzen, Opioiden oder Phytotherapie erfolgen. Abhängig von der Schmerzhaftigkeit können auch verschiedene Schmerzmittel kombiniert werden. Ferner kann mittels Physiotherapie der Heilungsverlauf unterstützt werden. Welche physiotherapeutischen Übungen und Behandlungen in Frage kommen, sollte ein Physiotherapeut bzw. eine Physiotherapeutin entscheiden. Dies ist wichtig, da gewisse Manipulationen die Problematik sogar verschlechtern könnten. Essentiell beim konservativen Vorgehen ist eine genaue Beobachtung des klinischen Verlaufs. Denn auch bei einem leichten Bandscheibenvorfall kann, bei einem weiteren Vorschieben der Bandscheibe, innerhalb von Stunden eine komplette Lähmung eintreten. Jede Verschlechterung sollte sofort erkannt werden, um bei Bedarf ein Eingreifen zu ermöglichen.

 

Operation

Liegen ausgeprägte neurologische Symptome vor, oder engt der Bandscheibenvorfall am CT / MRT das Rückenmark massiv ein, ist meist eine OP indiziert. Bei schweren neurologischen Ausfällen sollte umgehend operiert werden, um irreversiblen Schäden am Rückenmark vorzubeugen. Auch bei längerem Bestehen von starken Schmerzen kann eine OP empfehlenswert sein. Welche Operationsmethode angewandt wird, hängt von der Lokalisation des Vorfalles und dem Schweregrad ab. Der Verlauf nach einer Operation ist großteils vom präoperativen Zustand abhängig. Bis der Patient selbständig Harn absetzen kann, sollte er auf jeden Fall stationär bleiben.

Ist der Patient stehfähig, kann dieser meist entlassen werden. Jedoch ist auch hier eine Unterstützung mittels Physiotherapie, die nach einer Einweisung teilweise auch durch die Besitzer durchgeführt werden kann, zu empfehlen. Wenn der Patient nicht stehfähig ist, ist eine adäquate Physiotherapie ein Muss, da der Abbau der Muskulatur nach einigen Tagen bereits zu Problemen führen kann. Die Übungen bestehen aus Massagen, Durchbewegen der betroffenen Gliedmaßen, Elektrostimulation, Gewichtsverlagerungen, Unterwasserlaufband u.v.m.

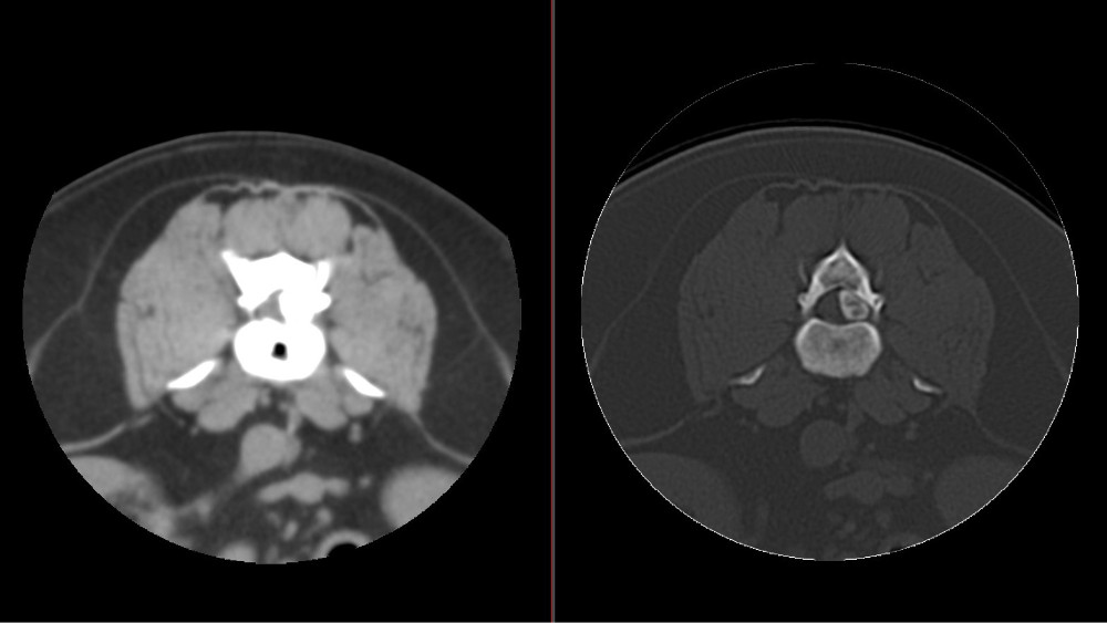
CT rechtsseitiger Bandscheibenvorfall Lendenwirbelsäule

CT rechtsseitiger Bandscheibenvorfall Lendenwirbelsäule: der verkalkte Bandscheibenvorfall nimmt auf der rechten Seite ca. 50% des Wirbelkanals ein und verdrängt so das Rückenmark stark.

CT Bandscheibenvorfall Lendenwirbelsäule postoperativ

CT Bandscheibenvorfall Lendenwirbelsäule postoperativ: nach der Entfernung des verkalkten Bandscheibenmaterials ist wieder genügend Platz für das Rückenmark im Wirbelkanal.

Prognose

Die Prognose bei einem Bandscheibenvorfall hängt stark vom neurologischen Zustand bei Vorstellung und der Dauer des Vorfalles ab. Bei schweren Lähmungserscheinungen kann es Wochen oder Monate dauern, bis sich diese bessern. Bei schweren Rückenmarkskompressionen kann das Rückenmark mit der Zeit durch eine Schädigung der Nervenzellen irreversible Schäden erleiden. Diese können zu einer permanenten Lähmung führen. Wichtig ist uns die ausführliche Kommunikation mit Ihnen, damit die Lage richtig eingeschätzt werden kann.

Quellen
  • Forterre F, Lang J (2018): New aspects in the treatment of disc herniation in the dog. Vet Clin North Am Small Anim Pract 48(1): 95-109.
  • DeDecker S, Fenn J (2018) 2Acute Herniation of Nondegenerate Nucleus Pulposus: Acute Noncompressive Nucleus Pulposus Extrusion and Compressive Hydrated Nucleus Pulposus Extrusion. Vet Clin North Am Small Anim Pract 48(1):95-109.
  • Sharp NJH & Wheeler SJ (2005): Small animal spinal disorders – diagnoses and surgery. Elsevier, Philadelphia, 2. ed.
  • Bubenik L (2005): Intervertebral disk disease – tradition versus current views on treatment. Proceeding of the NAVC North American Veterinary Conference Jan. 8-12, Orlando, Florida: 555-557.
  • Lorenz MD, Coates JR, Kent M (2011): Handbook of veterinary neurology. Elsevier, St. Louis, 5. ed.
  • Fischer A (2017): Intensivworkshop Neurologie. LMU, Medizinische Kleintierklinik, München, 13.-17. November.
  • Forterre F & Tomek A (2017): Wirbelsäulenchirurgie II. Eickemeyer, Tuttlingen, 13.-14.10.2017.
  • Tobias KM & Johnston SA (2012): Veterinary surgery small animal. Elsevier, St. Louis, 1. ed.
  • Jeffery ND, Levine JM, Olby NJ, Stein VM (2013): Intervertebral disk degeneration in dogs: consequences, diagnosis, treatment, and future directions. J Vet Intern Med:1318-33.
Dr. Martin Riegler

Dr. Martin Riegler

Fachtierarzt für Kleintiere

  • Orthopädische Chirurgie
  • Neurochirurgie
  • Radiologie
WordPress Cookie Hinweis von Real Cookie Banner