Osteochondrosis dissecans (OCD) Schulter

Bei der Osteochondrosis dissecans (OCD) der Schulter handelt es sich um eine Erkrankung des wachsenden Hundes. Das Dissekat, eine Knorpelschuppe, löst sich vom Humeruskopf und bereitet dadurch Schmerzen.

In der Regel ist die operative, meist arthroskopische Entfernung als Behandlung ausreichend. Nur in sehr ausgeprägten Fällen kann das Einsetzen eines Implantates erforderlich sein.

Ursache

Es handelt sich vermutlich um eine genetisch bedingte Erkrankung, die vorwiegend in Phasen schnellen Wachstums auftritt. Überernährung, und in deren Folge beschleunigtes Wachstum und Zunahme des Körpergewichts, wird als begünstigender Faktor diskutiert. Es wird angenommen, dass eine Unterbrechung in der Gefäßversorgung des wachsenden Gelenksknorpels zur Knorpelnekrose und damit zum Ablösen der Knorpelschuppe führt.

Welche Hunde sind häufiger betroffen

Am häufigsten sind größere und Riesen Rassen betroffen, so wie Deutsche Doggen, Bordeauxdoggen, Belgische und Deutsche Schäferhunde, Labrador und Golden Retriever, Neufundländer und andere, aber auch beim Border Collie kommt die OCD zunehmend vor.

Symptome

Oft treten die ersten Symptome bereits im Alter von 6 Monaten auf, die Hunde lahmen auf der betroffenen Gliedmaße und sind schmerzhaft bei Schulterstreckung und –beugung. Im Falle einer bilateralen Erkrankung kann es schwieriger sein, die Lahmheit zu detektieren. Bei manchen Hunden hört die Lahmheit irgendwann wieder auf. In diesen Fällen kann es sein, dass sich die Knorpelschuppe gelöst hat und in der hinteren Gelenksaussackung stecken geblieben ist. Der Bereich am Humeruskopf, in dem die Knorpelschuppe vorher gelegen hat, füllt sich mit Faserknorpel aus. Nicht selten bleiben diese Hunde lahmheitsfrei, es kommt jedoch immer wieder vor, dass sich die Schuppe erneut löst und andernorts im Gelenk eingeklemmt wird und hier wiederum erneut Schmerzen auslösen kann. Auch ein Abschwemmen der OCD Schuppe in die Bizepssehnenscheide ist möglich.

Diagnose

Die Diagnosestellung erfolgt in der Regel während einer orthopädischen Untersuchung durch Ihren Tierarzt in Kombination mit Röntgenbildern und/oder CT.

Die wichtigste Differentialdiagnose stellt eine Coronoiderkrankung oder OCD im Ellbogengelenk dar. Nicht selten gibt es auch Hunde, die an beiden Erkrankungen parallel leiden, wobei die Ellbogenerkrankung meist die schlimmere ist. In vielen Fällen wird daher zum Ausschluss auch ein CT der Ellbogengelenke angefertigt werden.

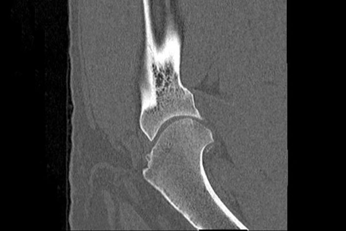
CT OCD

CT OCD

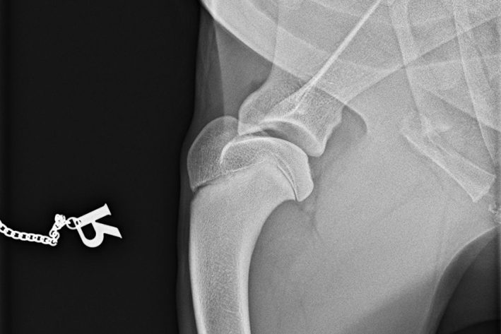
Röntgen OCD

Röntgen OCD

Therapie

In den meisten Fällen ist eine operative Entfernung der Schupppe ausreichend, um die Hunde lahmheits- und schmerzfrei zu bekommen. Diese wird in der Regel arthroskopisch durchgeführt. Sollte die Schuppe in die Bizepssehnenscheide abgeschwemmt worden sein, wird ein offener Eingriff zur Lokalisation und Entfernung der Schuppe erforderlich.

Je nachdem, wie sich das OCD Bett am Humeruskopf intraoperativ darstellt, wird der Chirurg dieses ggf. noch anfrischen durch sogenanntes Micropicking oder Forage, um die Gefäßeinsprossung und damit das Abheilen des Bettes mit Faserknorpel zu fördern.

In sehr wenigen Fällen ist die Läsion so ausgeprägt, dass ein Implantat in einem zweiten Schritt zur Defektfüllung in Erwägung gezogen werden muss. Hier stehen verschiedene Implantate zu Verfügung, wie z.B. das kommerziell verfügbare SynACart, aber auch eigens für den jeweiligen Hund angefertigte Implantate kommen in Frage.

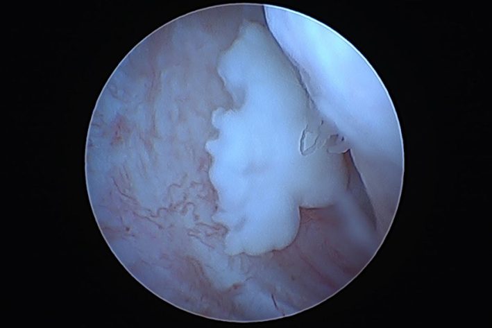
freie Schuppe

freie Schuppe

Die Schuppe wurde entfernt. OCD Bett in Abheilung

Die Schuppe wurde entfernt. OCD Bett in Abheilung

Prognose

Die Prognose ist im Allgemeinen gut, wenn sich die Schuppe gut entfernen lässt. Sollte sie sich bereits aus ihrem Bett gelöst haben, kann das Auffinden der Schuppe manchmal eine Herausforderung darstellen, insbesondere, wenn sie in die Bizepssehne abgeschwemmt wurde. In seltenen Fällen ist hier ein zweiter Eingriff zur Entfernung erforderlich.

Sollte das Bett sehr groß sein und bereits Spiegelläsionen an der korrespondierenden Gelenksfäche des Schulterblattes mit beginnender Arthrose vorliegen, ist die Prognose dementsprechend vorsichtiger.

Bei Junghunden empfiehlt es sich, Auffälligkeiten im Gangbild sofort vom Tierarzt abklären zu lassen, um die Diagnose rechtzeitig stellen zu können.

Dr. Riccarda Schünemann

Dr. Riccarda Schünemann

Dipl. ECVS, FTÄ für Kleintierchirurgie, FTÄ für Kleintiere

  • Orthopädische Chirurgie
  • Weichteilchirurgie
  • Neurochirurgie
WordPress Cookie Hinweis von Real Cookie Banner