Arthrose

Bei der Arthrose handelt es sich um eine Gelenkserkrankung, die mit Knorpelverlust, osteophytären Zubildungen, Fibrose der Gelenkskapsel sowie einer allgemeinen Entzündung im Gelenk einhergeht. Sie hat bei Tieren verschiedene Ursachen, im Gegensatz zum Menschen ist die primäre Arthrose beim Hund jedoch selten und bisher nur für die Zehengelenke beschrieben. In den meisten anderen Fällen hat die Arthrose eine orthopädische Grundursache. Bei Katzen sind im Bereich verschiedener Gelenke und der Wirbelsäule Primärarthrosen beschrieben.

Ursache

Beim Hund liegen in den meisten Fällen von Gelenksarthrosen primäre Ursachen vor. Im Bereich des Knies kann dies z.B. ein unentdeckter partieller Kreuzbandriss oder eine OCD Läsion sein. Auch im Tarsalgelenk, dem Ellbogen oder dem Schultergelenk kann eine OCD Läsion die Primärursache sein. Im Bereich von Hüfte und Ellbogen ist meist eine Gelenksdysplasie ursächlich, aber auch Traumata vor allem im Wachstum kommen als Ursache in Frage. Bandläsionen können zu einer Instabilität im Gelenk und damit sekundärer Arthrose führen. Zuletzt können auch infektiöse Erkrankungen im Gelenk sowie immunmediierte (z.B. rheumatoide) Entzündungen zu einer Arthrose führen.

Nur im Bereich der Zehengelenke sind primäre Arthrosen beim Hund beschrieben. Vermutlich entstehen diese als Folge einer chronischen Überlastung im Zusammenhang mit einer genetischen Prädisposition. Auch Übergewicht kann hier eine Rolle spielen.

 

Bei der Katze treten ebenfalls Sekundärarthrosen nach Gelenkstraumata sowie aufgrund von Dysplasien, v.a. im Bereich der Hüfte, auf. Primärarthrosen sind bei Katzen jedoch deutlich häufiger beschrieben als beim Hund und sind bei einer großen Zahl der Katzen über 12 Jahren röntgenologisch nachzuweisen. Am häufigsten ist in diesem Fall die Wirbelsäule betroffen, gefolgt von Ellbogen, Hüftgelenk sowie Knien, wobei bei letzteren ein unerkannter Kreuzbandriss differentialdiagnostisch in Erwägung gezogen werden muss.

Welche Tiere sind häufiger betroffen?

Am häufigsten sind eher ältere und eher übergewichtige Tiere betroffen. Im Falle sekundärer Arthrosen in Folge von Gelenksdysplasien zeigen jedoch oft schon sehr junge Tiere, teils unter einem Jahr, deutliche Arthrosen.

Symptome

Je nach Ursache und Lokalisation sind manche Tiere lange Zeit symptomlos oder zeigen nur milde oder intermittierende Symptome. Typisch ist z.B., dass die Tiere nach dem Aufstehen lahm gehen, sich dann jedoch einlaufen. Manche Tiere zeigen lediglich zeitweise einen steifen Gang, springen weniger oder wollen weniger spazieren gehen. Tiere können ihre Schmerzen besser verstecken und manchmal werden die Besitzer wegen Verhaltensänderungen vorstellig, die sich letztendlich auf Schmerzen zurückführen lassen. Bei stark fortgeschrittenen Arthrosen zeigen die Tiere in der Regel eine hochgradige Lahmheit.

Diagnose

Die klinische Untersuchung liefert einen ersten Hinweis auf die Lokalisation der Schmerzhaftigkeit. Zur weiteren genauen Diagnosestellung werden in der Regel Röntgenbilder, manchmal auch eine Computertomografie angefertigt.

Differentialdiagnostisch sind zunächst vor allem behandelbare Grundursachen auszuschließen.

Röntgenbild Hochgradige Kniegelenksarthrose

Hochgradige Kniegelenksarthrose sekundär zu einer chronischen OCD Läsion

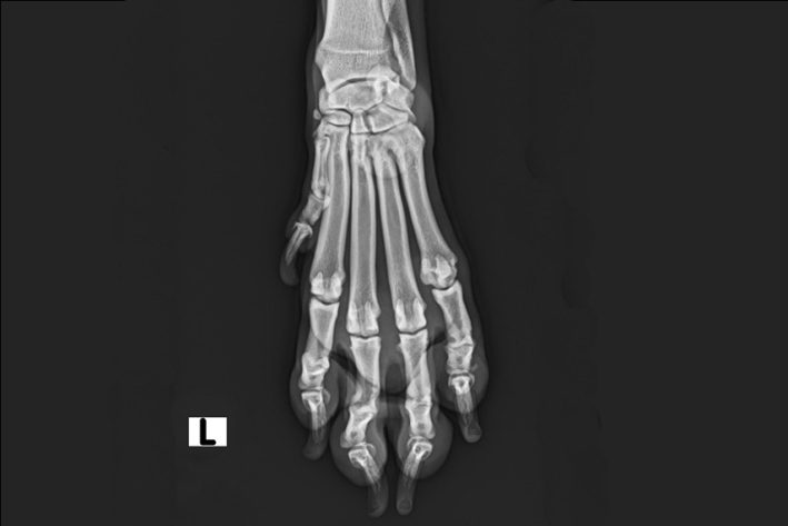
Röntgenbild Primäre Zehengelenksarthrose

Primäre Zehengelenksarthrose

Therapie

Im Falle einer Primärarthrose wird die Behandlung in der Regel konservativ erfolgen. Hier stehen verschieden Modalitäten, je nach Lokalisation und Schwere zur Verfügung. In der Regel wird die Behandlung mit einem Schmerzmittel, einem sogenannten nicht-steroidalen Antiphlogistikum gestartet. Je nach Lokalisation und Schwere stehen auch andere Klassen von Schmerzmitteln, die ggf. dazu gegeben werden können, zur Verfügung. Eine weitere Möglichkeit der Therapie stellt die Infiltration mit einem cortisonhaltigen Präparat dar. Gezielte Physiotherapie kann helfen, die betroffenen Gelenke zu mobilisieren sowie die Muskulatur zu kräftigen und damit auch Schmerzen zu reduzieren. Verschiedene Futterzusätze wie Omega 3 Fettsäuren und Glucosaminoglykane verfügen über einen entzündungshemmenden Effekt und werden daher auch unterstützend eingesetzt. Nicht zuletzt kann eine Gewichtsreduktion dabei helfen, weniger Gewicht und damit Belastung auf die betroffenen Gelenke zu bringen, was oft einen großen Effekt auf die Belastbarkeit und Lebhaftigkeit der betroffenen Tiere hat.

Im Falle von Sekundärarthrosen muss zunächst geschaut werden, ob die Grundursache behandelt werden kann. Ein klassisches Beispiel hierfür wäre der Kreuzbandriss, welcher zu einer Instabilität im Knie führt und daher zu sekundären Arthrosen. Behandelt man diese Instabilität durch eine TPLO, wird das weitere Fortschreiten der Arthrose deutlich eingedämmt und kann in vielen Fällen sogar gestoppt werden. Die Veränderungen, die bereits vorhanden sind, kann man jedoch nicht rückgängig machen.

In Fällen, in denen die Arthrose sehr weit fortgeschritten ist und konservative Maßnahmen nicht mehr helfen, kommt manchmal nur mehr ein künstlicher Gelenksersatz (z.B. eine künstliche Hüfte), eine Gelenksversteifung (Arthrodese) oder eine sogenannte Resektionsarthroplastik, bei welcher das betroffene Gelenk entfernt wird (z.B. Femurkopfhalsresektion), in Frage.

Prognose

Die Prognose ist im Allgemeinen eher vorsichtig, sofern keine gut behandelbare Grundursache vorliegt. Die richtige Diagnose einer etwaigen Grundursache ist daher entscheidend für den weiteren Therapieerfolg. Bitte sprechen Sie uns an, wenn bei Ihrem Tier eine Arthrose vorliegt, für die bisher keine Grundursache gefunden worden ist.

Quellen
  • Tobias KM & Johnston SA (2012): Veterinary surgery small animal. Elsevier, St. Louis, 1. ed.
  • DeCamp CE, Johnston SA, Dejardin LM, Schaefer SL (2016): Handbook of Small Animal Orthopedics and Fracture Repair. Elsevier, St. Louis
  • Montavon PM, Voss K, Langley-Hobbs SJ (2009): Feline Orthopedic and Musculoskeletal Disease. Elsevier, St. Louis
Dr. Riccarda Schünemann

Dr. Riccarda Schünemann

Dipl. ECVS, FTÄ für Kleintierchirurgie, FTÄ für Kleintiere

  • Orthopädische Chirurgie
  • Weichteilchirurgie
  • Neurochirurgie
WordPress Cookie Hinweis von Real Cookie Banner