Zystitis (Harnblasenentzündung)

Zystitis bezeichnet eine Entzündung der Harnblase, die sowohl Hunde als auch Katzen betreffen kann. Sie kann durch verschiedene Ursachen bedingt sein und die Stärke der Ausprägung ist unter anderem abhängig von Art und Menge der beteiligten Erreger, anatomischen Gegebenheiten, der Immunabwehr sowie gleichzeitig vorliegenden anderen Erkrankungen des Tieres. Eine Zystitis kann sehr schmerzhaft sein und sowohl Wohlbefinden des Tieres beeinträchtigen als auch zu ernsteren gesundheitlichen Problemen führen, wenn sie unbehandelt bleibt.

Ursache

Hunde sind häufiger betroffen als Katzen, wobei weiblich kastrierte Hündinnen ein zweifach höheres Risiko haben als Rüden (die längere Harnröhre und das zinkhaltige, bakteriostatische/bakterizide Prostatasekret erschweren eine Infektion). Katzen sind resistenter aufgrund der höheren Konzentrationsfähigkeit des Urins, was eine bessere Abwehr bedingt (niedriger pH-Wert, hoher Gehalt an Harnstoff und schwachen Säuren). Folgendes sind mögliche Ursachen bbzw begünstigende Faktoren für eine Zystitis:

  • Bakterielle Infektionen (häufigste Ursache): Viele Infektionen erfolgen durch ein Aufsteigen der Erreger über die Harnröhre in die Blase, welche sich weiter in Harnleiter und Nieren fortsetzen kann. Dabei handelt es sich oft um Keime der Haut oder des Darmtrakts (Kotkontamination der Anogenitalregion). Durch die Nähe zu den Geschlechtsorganen kommt es häufig auch zu einer Infektion des Genitaltrakts oder vice versa aufgrund einer Infektion des Genitaltrakt (zB Prostatitis, Vaginitis) zu einer Infektion des Harntrakts.
  • Harnsteine: Durch die mechanische Reizung der Harnblasenschleimhaut durch die Steine kann es zu entzündlichen Reaktionen kommen. Bei einer Ausscheidung der Steine mit dem Harn kann es außerdem zu einer Verlegung der Harnröhre kommen, was einen tiermedizinischen Notfall darstellt.
  • Blasentumore
  • Komorbiditäten: Diabetes mellitus, Hyperadrenokortizismus oder eine chronische Nierenerkrankung führen beispielsweise zu einer verminderten Konzentration des Harns. Neurologische Erkrankungen wie beispielsweise ein Bandscheibenvorfall führen zu einer unzureichenden Entleerung der Harnblase. Folglich können sich Erreger leichter vermehren.
  • Stress: V.a. bei der Katze ist Stress ein Faktor von vielen (u.a. auch Übergewicht, reine Wohnungshaltung, wenig Bewegung, Mehrkatzenhaushalt, Umgebunsstressoren wie Umzug) welcher das als FIC (feline idiopathische Zystitis) bezeichnetes Krankheitsbild begünstigt.

Symptome

  • Strangurie: Schmerzen beim Harnabsatz (zB Winseln, Miauen)
  • Pollakisurie: häufiger Harnabsatz in kleinen Mengen
  • Anurie: kein Harnabsatz (bei Verstopfung der Harnröhre zB durch Harnsteine)
  • Hämaturie: rötliche Verfärbung des Harns
  • Unruhe
  • Schmerzen beim Angreifen des Bauches (v.a. im hinteren Bereich)

Achtung: Rein von der Symptomatik kann sich ein Tumor darstellen wie eine Entzündung. Zur Unterscheidung bzw korrekten Diagnose sind weiterführende Untersuchungen nötig.

Diagnose

Anamnese: Vor allem Informationen zu Grunderkrankungen, Kastrationsstatus und eine genaue Beschreibung des Harnabsatzverhalten sind wichtige Punkte, die erste Hinweise auf eine Harnwegsinfektion geben können.

Klinische Untersuchung: Oft zeigen die Tiere keine oder nur unspezifische Symptome (zB Bauchschmerzen).

Blutuntersuchung: Diese ist oft unauffällig, wobei bei starken Entzündungen eine Erhöhung der Entzündungszellen vorgefunden werden kann.

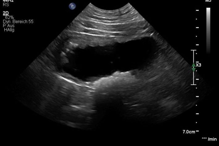
Bildgebende Diagnostik: Mittels Röntgen können röntgendichte Harnsteine sichtbar gemacht werden. Eine Ultraschalluntersuchung ermöglicht eine detaillierte Aussage zur Schleimhautbeschaffenheit und dem Harnblaseninhalt. Weiters kann ultraschallgestützt eine sterile Punktion des Harns vorgenommen werden.

Harnuntersuchung: Dabei wird der Harn zunächst grobsinnlich beurteilt (Farbe, Durchsichtigkeit, Geruch), das spezifische Gewicht ermittelt (Dichte/Konzentration des Harns), ein Harnteststreifen ausgewertet (pH, Vorhandensein von Blut oder Eiweißen) sowie zytologische Untersuchungen durchgeführt (Sediment: Kristalle, Zellen; Zytospin: Zellen, Erreger). Weiters ist es wichtig, bei Verdacht auf eine bakterielle Infektion eine bakteriologische Untersuchung inklusive Antibiotika-Sensitivitätsbestimmung einzuleiten.

Zystitits Roentgen

Zystitits Röntgen

Zystitis Ultraschall

Zystitis Ultraschall

Therapie

Die Therapie richtet sich je nach Ursache der Zystitis.
Konservativ

Bei der konservativen Therapie einer bakteriellen Zystitis mittels Medikamenten (Antibiose +/- Entzündungshemmer) ist es wichtig, zwischen 2 Formen zu unterscheiden

  • Unkomplizierte Zystitis: Dazu zählen Zystitiden bei ansonsten gesunden Hündinnen und kastrierten Rüden, welche maximal einmal in 6 Monaten aufritt. Bei einem funktionsfähigen Immunsystem ist eine bakterielle Zystitis mit einer entsprechenden Antibiotikatherapie über mehrere Tage idR gut behandelbar. Wichtig dabei sind eine ausreichende Dauer der Therapie und das richtige Antibiotikum.
  • Komplizierte Zystitis: Dazu zählen Zystitiden, welche aufgrund anatomischer (zB Prostatitis bei unkastrierten Rüden), funktioneller (zB neurologische Ausfälle) oder metabolischer (zB Diabetes mellitus) Abnormitäten eine Infektion begünstigen. Wichtig dabei ist die Behandlung der zugrundeliegenden Ursache/Erkrankung. Bei einer Infektion kann eine mehrwöchige Antibiotikatherapie nötig sein.

Weiters können unterstützende Maßnahmen ergriffen werden:

  • Futtermittelzusatzstoffe (die Studienlage zur erwiesenen Wirksamkeit in der Veterinärmedizin ist aber gering): Cranberries, Cranberry-Extrakt (Proanthocyanide können Biofilm-Bildung und Erregerbindung an Schleimhaut reduzieren), D-Mannose (Reduktion der Erregerbindung an die Schleimhaut), Glykosaminoglykane (legen sich an kaputte Schleimhaut und „fangen“ Bakterien ein).
  • Diät: Manche (aber nicht alle!) Harnblasensteine können mittels Harn-pH-modulierenden Futtermittelzusätzen und speziellen Futtermitteln behandelt werden.
  • Wasseraufnahme: Eine ausreichende Wasseraufnahme ist wichtig, damit ein möglichst hoher Durchfluss die Erregerzahl minimiert.
  • Umgebungsmodulierende Änderungen (enviromental enrichment): Dies sind vor allem bei der FIC der Katze essenziell.

Operation

Eine Operation ist bei einer bakteriellen Infektion nicht nötig. Jedoch bei sehr großen oder nicht konservativ behandelbaren Harnblasensteinen sowie bei Harnblasentumoren indiziert.

Prognose

Eine Zystitis ist eine gut behandelbare Erkrankung, wenn die zugrundeliegende Ursache behoben werden kann. Dabei ist eine schnelle Diagnose und Therapie entscheidend sind, um Komplikationen zu vermeiden. Bei Anzeichen von Harnabsatzproblemen oder veränderter Farbe des Harns, sollte alsbald tierärztlicher Rat eingeholt werden. Durch rechtzeitige Maßnahmen können langfristige Schäden oft vermieden werden.

Quellen
  • Stephen J. Ettinger, Edward C. Feldman, Etienne Cote (2017): Textbook of Veterinary Internal Medicine. Elsevier, St. Louis, 8. ed.
  • Nelson W., Richard; Couto, C. Guillermo (2006): Innere Medizin der Kleintiere. Elsevier Verlag, 1. Auflage, München.
  • Kohn, Barbara; Schwarz, Günther (2017): Praktikum der Hundeklinik. Enke Verlag, Stuttgart, 12. Aktualisierte Auflage.
  • Lutz, Hans; Kohn, Barbara; Forterre, Franck (2019): Krankheiten der Katze. Georg Thieme Verlag, Stuttgart, 6. Aktualisierte Auflage.
Mag. Viola Son

Mag. Viola Son

  • Allgemeinmedizin
  • Vorsorgemedizin
  • Gynäkologie
WordPress Cookie Hinweis von Real Cookie Banner