Orthopädie

„Orthos“ – griechisch für „gerade, richtig“, „Paideia“ – „Erziehung, Bildung“. Die Orthopädie befasst sich mit der Behandlung von Fehlbildungen und Erkrankungen des Bewegungsapparates. In der Regel wird auch die Traumatologie bzw. Unfallchirurgie unter diesem Begriff zusammengefasst.

Beim Tier fallen unter dieses Fachgebiet vor allem die zahlreichen entwicklungs- und genetisch bedingten Erkrankungen wie Dysplasien (Hüftdysplasie (HD), Ellbogendysplasie (ED)), Osteochondrosen (OCD von Schulter, Tarsus, Ellbogen, Knie oder Sakrum) und Patellaluxationen sowie die degenerativen Erkrankungen wie Kreuzbandriss und Arthrosen. Auch Fehlstellungen der Gliedmaßen gehören zu diesem Fachgebiet. Die Traumatologie befasst sich mit der Behandlung von Knochenbrüchen, Sehnenrupturen und Luxationen.

Häufige Erkrankungen

Diagnostik

In der Orthopädie ist eine zielgerichtete genaue Diagnostik essenziell. Erst dann kann über die Vorgehensweise entschieden und die Prognose eingeschätzt werden. Neben einer ausführlichen klinischen und Lahmheitsuntersuchung durch den Orthopäden werden je nach Befund Röntgenbilder, Ultraschallbilder oder auch CT oder MRT Bilder angefertigt.

Therapie

Operation

Je nach Erkrankung wird der Orthopäde mit Ihnen gemeinsam die weitere Behandlung besprechen, die je nach Befund konservativ oder operativ erfolgen kann. Viele orthopädische Operationen werden heute minimalinvasiv, also arthroskopisch durchgeführt. Sollte dies nicht möglich sein, wird der Orthopäde eine offene Chirurgie empfehlen. Orthopädische Operationen erfordern eine spezielle Ausbildung und setzen chirurgische Erfahrung voraus.

Arthroskopische Operationen

Die Behandlung der Ellbogendysplasie erfolgt in den allermeisten Fällen arthroskopisch, ebenso die Behandlung eines Meniskusrisses. Bei der OCD (Osteochondrosis dissecans) hängt es vom betroffenen Gelenk ab, ob der Orthopäde eine arthroskopische oder offene Entfernung empfehlen wird.

Offene Operationen

Die meisten orthopädischen Erkrankungen können nur durch eine offene Operation behandelt werden. So muss zur Korrektur einer Patellaluxation das Gelenk eröffnet werden, damit der Sulcus, in dem die Kniescheibe läuft, vertieft werden kann. Das gleiche gilt für das Einsetzen eines künstlichen Gelenkes. Im Falle von Knochenbrüchen wird in der Regel ein Zugang zum frakturierten Knochen erforderlich sein, nur in wenigen Fällen kann dies minimalinvasiv erfolgen. Zur Behandlung von Fehlstellungen der Knochen müssen diese in der Regel mit einer Säge durchtrennt und im Anschluss wieder in der richtigen Position verplattet werden. Sehnenrupturen werden vernäht und durch einen Fixateur oder stabilen Verband/Gips wird das Gelenk ruhig gestellt. Traumatische Luxationen von Gelenken werden je nach Befund konservativ oder operativ behandelt. Bei einer Hüftgelenksluxation kann zunächst das konservative Einrenken erfolgen. Sollte dies nicht erfolgreich sein, so kann das Hüftgelenk operativ reponiert und im Anschluss mittels Kapselnaht oder einem sogenannten Toggle Pin wieder fixiert werden. In seltenen Fällen, in denen auch dies nicht erfolgreich ist, kann auch die Implantation einer Kunsthüfte notwendig werden.

Die jeweilige Prognose hängt stark von der Diagnose und dem Befund ab. Für uns ist die Kommunikation mit dem Tierbesitzer sehr wichtig, damit die Erfolgsaussichten realistisch beurteilt werden können und gemeinsam die beste Entscheidung für den jeweiligen Patienten getroffen werden kann.

Kondylusfraktur des rechten Ellenbogens. Zum Vergleich: der linke Ellenbogen ist unauffällig.

Kondylusfraktur des rechten Ellenbogens. Zum Vergleich: der linke Ellenbogen ist unauffällig.

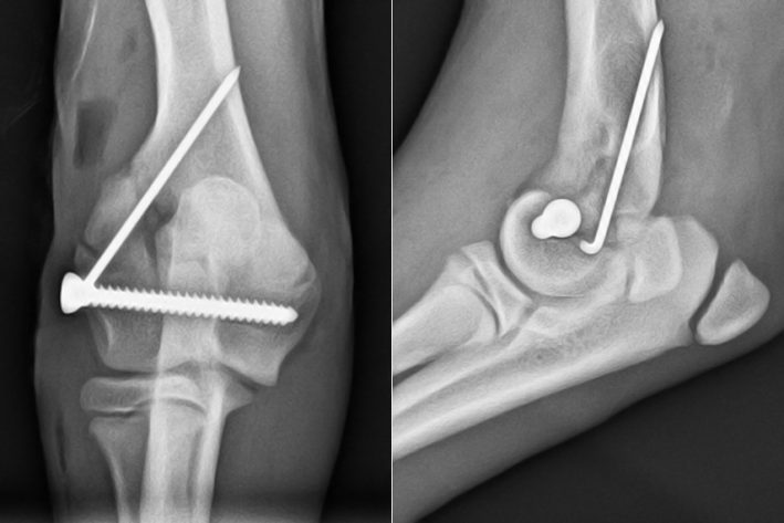
Ellenbogen nach der Operation – Versorgung mit einer Schraube und Pin

Ellenbogen nach der Operation – Versorgung mit einer Schraube und Pin

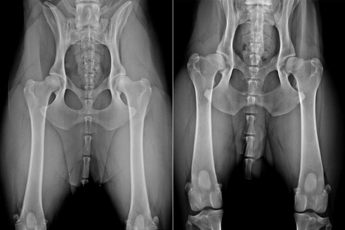
Normale Hüfte (links) versus Hüftgelenksdysplasie (rechts)

Normale Hüfte (links) versus Hüftgelenksdysplasie (rechts)

Knochenmodell der Beckenschwenkung

Knochenmodell der Beckenschwenkung

Ellbogendysplasie mit hochgradiger Inkongruenz beidseits

Ellbogendysplasie mit hochgradiger Inkongruenz beidseits

Isolierter Processus Anconeus vor (Abb. links) und nach (Abb. rechts) dem Anschrauben.

Isolierter Processus Anconeus vor (Abb. links) und nach (Abb. rechts) dem Anschrauben.

Heilungsverlauf und Prognose

Wir versuchen dem Besitzer vor jeder Operation eine realistische Einschätzung des Ablaufes postoperativ zu vermitteln. In den meisten Fällen kann man bei orthopädischen Operationen mit einem sehr guten oder guten Outcome rechnen. Natürlich hängt die Prognose stark vom durchgeführten Eingriff ab. In der Vorbesprechung wird auf den Ablauf der OP, die wichtigen Punkte in der Nachbetreuung und auf die Prognose eingegangen. Erst wenn alle Fragen geklärt sind, wird die OP durchgeführt.

Quellen
  • Tobias KM & Johnston SA (2012): Veterinary surgery small animal. Elsevier, St. Louis, 1. ed.
  • DeCamp CE, Johnston SA, Dejardin LM, Schaefer SL (2016): Handbook of Small Animal Orthopedics and Fracture Repair. Elsevier, St. Louis
WordPress Cookie Hinweis von Real Cookie Banner