Dermatologie

Haut- oder Fellveränderungen, Juckreiz und Hautknoten zählen zu den häufigsten Vorstellungsgründen in der tierärztlichen Praxis. Äußerlich ähnlich erscheinende Hautveränderungen haben oft verschiedene Ursachen und führen dementsprechend zu unterschiedlichen Behandlungen und Prognosen. Deshalb sind eine exakte, rasche und logische Aufarbeitung sowie eine individuell angepaßte Therapie besonders wichtig.

Seit vielen Jahren haben wir uns auf diesem gleichermaßen vielfältigen wie spannenden Fachgebiet spezialisiert – und sind mit der Thematik sowie den neuesten Therapieansätzen – nicht zuletzt durch Teilnahme an nationalen und internationalen Weiterbildungsseminaren – stets up to date.

Häufige Erkrankungen

Diagnostik

Hier sind Fachkenntnis und Erfahrung gefragt: der Großteil der Diagnosestellung ergibt sich aus Anamnese (Vorbricht, Krankengeschichte), klinischer Untersuchung und dermatologischer Untersuchung. Die Lebensgewohnheiten des Tieres, wie auch der Verlauf der Erkrankung und besonders das Verteilungsmuster der Haut- oder Fellveränderungen am Patienten geben wichtige Hinweise auf die Natur der Erkrankung. An dieser Stelle kann meist schon die Verdachtsdiagnose ausgesprochen werden, welche es durch entsprechende Tests zu bestätigen gilt. Derartige, routinemäßig durchgeführte Tests sind zum Beispiel die Untersuchung mit der Wood-Lampe, Hautgeschabsel, Klebestreifen-Abklatsch-Präparat, Pilzkultur, Hautabstrich, Trichogramm, FNAB (Feinnadelaspirations-Biopsie).

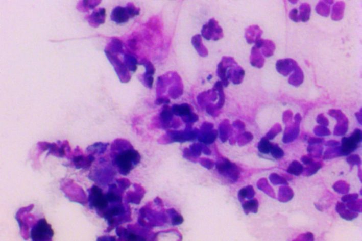
Mikroskop Zytologie

Mikroskop Zytologie

Zytologie-Präparat: Entzündungszellen

Oberflächliche bakterielle Hautinfektion

Therapie

Die Therapie wird stets unter Einbeziehung der Tierbesitzer individuell angepasst. Um den besten Erfolg bei möglichst geringem Medikamenten-Einsatz zu erreichen, wird meist eine multimodulare Behandlung gewählt: je nach Akzeptanz von Seiten des Tieres sowie nach Möglichkeit seiner Besitzer wird eine lokale, äußere Therapie (Shampoo, Salben, Spray) einer systemischen Therapie (Tabletten, Injektionen) vorgezogen oder kombiniert.

Heilungsverlauf und Prognose

Sobald die Diagnose gestellt wurde, wird die entsprechende Therapie eingeleitet. Bei Parasiten-Befall, Pilzerkrankungen oder bakteriellen Hautinfektion führt dies rasch zu einer Besserung der Symptome und bald zur Heilung.

Chronische Erkrankungen wie Allergien oder Immunologische Erkrankungen der Haut bedürfen oft einer lebenslangen Therapie. Diese wird stets individuell an die Bedürfnisse der Patienten angepasst. Gemeinsam mit den Tierbesitzern besprechen wir die bestmögliche Behandlungsform.

Dank unserer langjährigen Erfahrung und steter Weiterbildung auf dem Gebiet der Dermatologie dürfen wir uns über entsprechend hohe Erfolgsquoten, zufriedene Patienten und Tierbesitzer freuen.

WordPress Cookie Hinweis von Real Cookie Banner